首页
伤感说说
动漫配图
心情说说
抖音文案
伤感图片
伤感说说:
伤感的句子说说心情
空间说说
心情说说
爱情说说
女生伤感说说
人生感悟
心情不好的说说
说说带图片
关于生活的说说
说说心情短语
qq空间说说带图片
个性说说
励志名言
一句话经典语录
感悟人生的经典句子
短句吧
情感故事
抖音文案
伤感图片:
伤感图片带字
非主流伤感图片
唯美伤感图片
女生伤感图片
唯美意境图片
悲伤的图片
唯美意境伤感图片
只有字的伤感图片
说说图片
伤心的图片
美甲图片
图片大全
情感图片
微信头像男
动态壁纸
动漫配图
伤感图片
首页
>
肺泡壁
肺泡壁,肺泡的结构
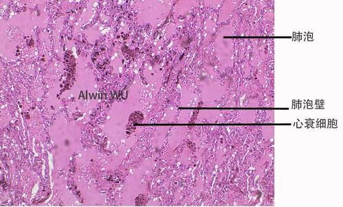
图2:肺泡壁图示.
肺泡和毛细血管之间透过肺泡壁和血管壁交换气体(实际上,肺泡壁
肺泡壁和毛细血管壁都是一层扁平 的上皮细胞 第7页 (共8页,当前第7页
急性肺淤血:肺泡腔充满粉红色水肿液, 肺泡壁血管扩张充血 肺泡腔
肺水肿病理:肺泡壁毛细血管扩张淤血,肺泡腔内可见大量水肿液和心衰
更多推荐
肺泡的结构
肺泡上皮细胞
肺泡壁切片
肺泡壁图
肺泡囊和肺泡的区别
肺泡壁结构
肺泡壁结构图
肺泡壁的结构模式图
肺泡毛细血管
肺泡壁模式图
肺泡切片
肺泡壁手绘图
肺泡壁有几层膜
肺泡
肺泡管
肺泡囊
肺泡孔
肺泡破裂
肺泡解剖
肺泡图片
肺泡壁毛细血管
肺泡模型
肺泡示意图
肺泡结构图
肺泡组织图
肺泡显微镜
肺泡切片图
肺泡解剖图
肺泡模式图
肺泡壁红蓝铅笔