首页
伤感说说
动漫配图
心情说说
抖音文案
伤感图片
伤感说说:
伤感的句子说说心情
空间说说
心情说说
爱情说说
女生伤感说说
人生感悟
心情不好的说说
说说带图片
关于生活的说说
说说心情短语
qq空间说说带图片
个性说说
励志名言
一句话经典语录
感悟人生的经典句子
短句吧
情感故事
抖音文案
伤感图片:
伤感图片带字
非主流伤感图片
唯美伤感图片
女生伤感图片
唯美意境图片
悲伤的图片
唯美意境伤感图片
只有字的伤感图片
说说图片
伤心的图片
美甲图片
图片大全
情感图片
微信头像男
动态壁纸
动漫配图
伤感图片
首页
>
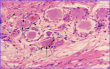
脊神经节显微镜特征
脊神经节显微镜特征,神经节传入神经
神经节细胞
兔脊神经节细胞横切(黑色的点即为高尔基重合体)
脑脊神经节 植物神经节 交感神经节 脊柱两旁和前方 副交感神经节
合成束,把许多大而圆的脊神经节细胞分隔成若干个群.
无忧文档 所有分类 人文社科 广告/传媒 1 脊神经ppt 神经脊节 前 根
更多推荐
神经节传入神经
脊神经节
脊神经节细胞
脊神经节切片
脊神经节细胞图片
脊神经节细胞手绘图
神经节简易
神经节
神经节图示
基底神经节
神经节图片
神经节解剖
膝状神经节
星状神经节
膝状神经节位置
星状神经节简易定位
星状神经节定位手法
星状神经节位置
星状神经节位置图
星状神经节体表定位图
星状神经节准确位置图
显微镜下的细菌
星状神经节高清图
显微镜
显微镜的基本结构
显微镜结构
显微镜的使用方法
星状神经节阻滞
显微镜的结构图
显微镜结构模式