首页
伤感说说
动漫配图
心情说说
抖音文案
伤感图片
伤感说说:
伤感的句子说说心情
空间说说
心情说说
爱情说说
女生伤感说说
人生感悟
心情不好的说说
说说带图片
关于生活的说说
说说心情短语
qq空间说说带图片
个性说说
励志名言
一句话经典语录
感悟人生的经典句子
短句吧
情感故事
抖音文案
伤感图片:
伤感图片带字
非主流伤感图片
唯美伤感图片
女生伤感图片
唯美意境图片
悲伤的图片
唯美意境伤感图片
只有字的伤感图片
说说图片
伤心的图片
美甲图片
图片大全
情感图片
微信头像男
动态壁纸
动漫配图
伤感图片
首页
>
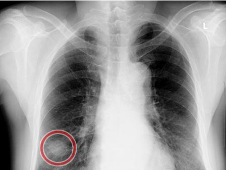
肺癌的胸片
肺癌的胸片,
七,走近肺癌(1—怎么知道得了肺癌
一个肺癌病人
间隔肺癌胸片筛查时受病理类型和部位的影响
中央型肺癌的横s或者反s征,是指右侧中央型肺癌的正位x光胸片上的典型
昆明专家分析肺癌早期什么症状
更多推荐
无人机飞行控制系统
正常的胸片图