首页
伤感说说
动漫配图
心情说说
抖音文案
伤感图片
伤感说说:
伤感的句子说说心情
空间说说
心情说说
爱情说说
女生伤感说说
人生感悟
心情不好的说说
说说带图片
关于生活的说说
说说心情短语
qq空间说说带图片
个性说说
励志名言
一句话经典语录
感悟人生的经典句子
短句吧
情感故事
抖音文案
伤感图片:
伤感图片带字
非主流伤感图片
唯美伤感图片
女生伤感图片
唯美意境图片
悲伤的图片
唯美意境伤感图片
只有字的伤感图片
说说图片
伤心的图片
美甲图片
图片大全
情感图片
微信头像男
动态壁纸
动漫配图
伤感图片
首页
>
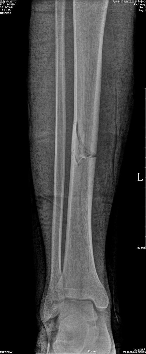
胫腓骨骨折长骨痂图片
胫腓骨骨折长骨痂图片,刺激骨痂生长的办法
术后5周骨折处可见骨痂形成
其它 田氏伤科医院--骨折大问题微创小切口帮您解决 写美篇胫腓骨骨折
梁司晨,10岁,右胫腓骨骨折
胫骨中段骨折保守治疗
胫腓骨骨折 - 骨伤一组 - 骨 伤 一 组
更多推荐
刺激骨痂生长的办法
胫腓骨骨折睡觉姿势
x光片如何看骨痂
胫腓骨骨折愈合图片
怎么判断是否长了骨痂
骨痂是什么样子图片
胫腓骨中段骨折
胫腓骨侧位图片标准
胫骨骨折骨痂照片
骨痂x光片图
长好骨痂的图片 愈合
骨折长骨痂图片
大量骨痂图片
胫骨骨折图片
骨痂生长过程
长骨痂绝招
骨折骨痂形成图片对比
胫腓骨骨折骨痂
胫腓骨骨折愈合过程图
骨痂图片怎么看
长好骨痂的图片 x光片
胫腓骨骨折手术图片
髌骨骨折长骨痂图
胫骨骨折10级伤残图片
骨痂生长满了ct的图片
骨折线清晰和模糊图片
胫腓骨骨折康复训练图
骨痂长什么样子图片
胫腓骨骨折功能锻炼图
胫腓骨骨折钢板固定