首页
伤感说说
动漫配图
心情说说
抖音文案
伤感图片
伤感说说:
伤感的句子说说心情
空间说说
心情说说
爱情说说
女生伤感说说
人生感悟
心情不好的说说
说说带图片
关于生活的说说
说说心情短语
qq空间说说带图片
个性说说
励志名言
一句话经典语录
感悟人生的经典句子
短句吧
情感故事
抖音文案
伤感图片:
伤感图片带字
非主流伤感图片
唯美伤感图片
女生伤感图片
唯美意境图片
悲伤的图片
唯美意境伤感图片
只有字的伤感图片
说说图片
伤心的图片
美甲图片
图片大全
情感图片
微信头像男
动态壁纸
动漫配图
伤感图片
首页
>
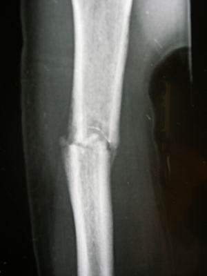
骨痂片子
骨痂片子,长了骨痂的x光片图
是外踝骨折有碎片,但是不知道自己是哪里看不懂,想看下骨折线骨痂在哪
45天拍的片子,肉骨长了骨痂,胫骨没长,还用石膏固定吗?
术后三个月,x光片可见骨痂形成,患者恢复良好!家属满意!继续观察!
09-2-20治疗后55天.骨痂形成良好,局部无压痛和纵扣痛,去骨牵引.
转载伤筋动骨一百天吗
更多推荐
长了骨痂的x光片图
骨折骨痂图片
骨痂愈合
骨痂初期
骨折骨痂形成图片对比
骨痂图片怎么看
骨折片子
骨痂图片
骨折片子图
骨痂
骨折后骨痂形成图片
大量骨痂图片
胫腓骨骨折
ct骨痂图片
骨折处鼓起是骨痂图片
骨痂是什么
小腿骨折骨痂长满图片
x光片如何看骨痂
长好骨痂的图片
骨痂是什么样子图片
长骨痂绝招
四十天骨痂图片
颈椎片子
骨折术后100天骨痂图
骨痂生长过程
片子
骨痂生长过程图
ct片子图片
片子正常
沾片子