首页
伤感说说
动漫配图
心情说说
抖音文案
伤感图片
伤感说说:
伤感的句子说说心情
空间说说
心情说说
爱情说说
女生伤感说说
人生感悟
心情不好的说说
说说带图片
关于生活的说说
说说心情短语
qq空间说说带图片
个性说说
励志名言
一句话经典语录
感悟人生的经典句子
短句吧
情感故事
抖音文案
伤感图片:
伤感图片带字
非主流伤感图片
唯美伤感图片
女生伤感图片
唯美意境图片
悲伤的图片
唯美意境伤感图片
只有字的伤感图片
说说图片
伤心的图片
美甲图片
图片大全
情感图片
微信头像男
动态壁纸
动漫配图
伤感图片
首页
>
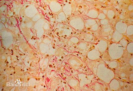
猪肝细胞核图
猪肝细胞核图,细胞核图
浆液性腺泡的腔内可见细胞核染色浅的泡心细胞 十八,肝脏
猪肝切片 生物切片 组织学与胚胎学 消化系统 显微镜玻片
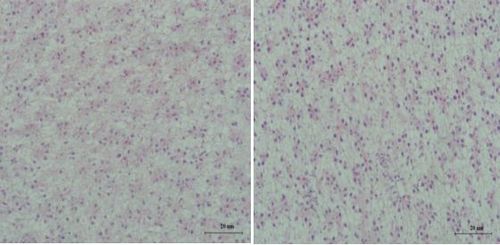
罗非鱼肝细胞核偏位,细胞内存在大量脂肪滴
肝细胞图片_百度百科
猪病理解剖高清图,值得收藏!
更多推荐
细胞核图
细胞核图片
细胞核结构图
细胞核平面图
细胞核概念图
细胞核简图
细胞核模型图
细胞核
细胞核的功能
细胞核结构
细胞核模型
细胞核结构模式图
猪肝图片真实图片
细胞核结构模式图简图
细胞核结构平面图
猪肝图
细胞核结构图手绘
细胞核手绘
细胞核的结构示意图
细胞核简图手绘
细胞核结构图手绘简图
细胞核的结构和功能图
细胞核染色体
新鲜猪肝图片
猪肝图片
细胞核结构模式
猪肝组织切片图
生猪肝图片
细胞核简图怎么画
猪肝草图片