首页
伤感说说
动漫配图
心情说说
抖音文案
伤感图片
伤感说说:
伤感的句子说说心情
空间说说
心情说说
爱情说说
女生伤感说说
人生感悟
心情不好的说说
说说带图片
关于生活的说说
说说心情短语
qq空间说说带图片
个性说说
励志名言
一句话经典语录
感悟人生的经典句子
短句吧
情感故事
抖音文案
伤感图片:
伤感图片带字
非主流伤感图片
唯美伤感图片
女生伤感图片
唯美意境图片
悲伤的图片
唯美意境伤感图片
只有字的伤感图片
说说图片
伤心的图片
美甲图片
图片大全
情感图片
微信头像男
动态壁纸
动漫配图
伤感图片
首页
>
胃底腺电镜图
胃底腺电镜图,胃底腺光镜图
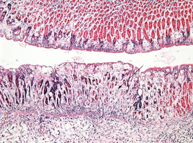
胃底腺 ↑表面黏液细胞
线上实验课时的切片截图及其标注: 依次为:食管,胃底,胃底腺,肠绒毛
我画的胃底腺
5息肉,还做了病理检查是复合胃底腺性息肉,到底
胃腺坏死
更多推荐
胃底腺光镜图
胃底腺结构图
胃底腺显微镜
胃底腺模式图
胃底腺组胚图
胃底腺图片
胃底腺绘图
胃底腺手绘图
胃底腺光镜图手绘
胃底腺结构示意图
胃底腺结构模式图
胃底腺切片
胃底腺
胃底腺实验报告图
胃底腺主细胞
胃底腺细胞手绘图
胃底腺切片手绘图
胃底腺模式图手绘
胃底腺结构模式
高倍镜下胃底腺手绘图
胃底腺息肉
胃底腺组胚手绘图
胃底腺手绘图作业
浆细胞电镜图
细胞电镜图
胃底腺红蓝铅笔
叶绿体电镜图
溶酶体电镜图
线粒体电镜图
胃底腺图片红蓝铅笔