首页
伤感说说
动漫配图
心情说说
抖音文案
伤感图片
伤感说说:
伤感的句子说说心情
空间说说
心情说说
爱情说说
女生伤感说说
人生感悟
心情不好的说说
说说带图片
关于生活的说说
说说心情短语
qq空间说说带图片
个性说说
励志名言
一句话经典语录
感悟人生的经典句子
短句吧
情感故事
抖音文案
伤感图片:
伤感图片带字
非主流伤感图片
唯美伤感图片
女生伤感图片
唯美意境图片
悲伤的图片
唯美意境伤感图片
只有字的伤感图片
说说图片
伤心的图片
美甲图片
图片大全
情感图片
微信头像男
动态壁纸
动漫配图
伤感图片
首页
>
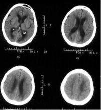
脱髓鞘病变ct
脱髓鞘病变ct,脑白质脱髓鞘CT
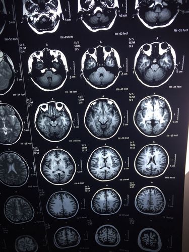
脑白质脱髓鞘
脑白质脱髓鞘疾病.pdf 36页
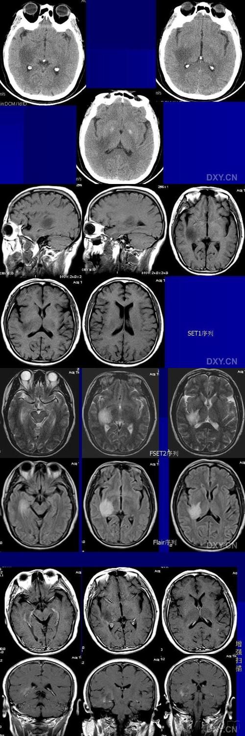
反复发作的脊髓脱髓鞘病变一例
脱髓鞘假瘤临床常以急性起病为主, 为脑实质孤立性或多发性占位性病变
磁共振显示脱髓鞘病变,考虑先天发育不良,需要治疗吗?
更多推荐
脑白质脱髓鞘CT
脱髓鞘
脱髓鞘病变图片
脱髓鞘图片
脱髓鞘病变
脑白质脱髓鞘病变
脱髓鞘核磁共振图
脱髓鞘病变症状
脱髓鞘疾病
脱髓鞘改变
脑白质脱髓鞘改变
脑白质脱髓鞘
炎性脱髓鞘
脑白质脱髓鞘图片
脑白质病变
病变
黄斑病变
皮肤病变
眼底病变
宫颈病变
低度cin病变
宫颈癌前病变
鸡肝脏病变诊断图片
宫颈病变的五个阶段
黄斑病变图片
低度鳞状病变
眼睛病变图片
病变歌曲
病变歌词
阴部白斑病变图片