首页
伤感说说
动漫配图
心情说说
抖音文案
伤感图片
伤感说说:
伤感的句子说说心情
空间说说
心情说说
爱情说说
女生伤感说说
人生感悟
心情不好的说说
说说带图片
关于生活的说说
说说心情短语
qq空间说说带图片
个性说说
励志名言
一句话经典语录
感悟人生的经典句子
短句吧
情感故事
抖音文案
伤感图片:
伤感图片带字
非主流伤感图片
唯美伤感图片
女生伤感图片
唯美意境图片
悲伤的图片
唯美意境伤感图片
只有字的伤感图片
说说图片
伤心的图片
美甲图片
图片大全
情感图片
微信头像男
动态壁纸
动漫配图
伤感图片
首页
>
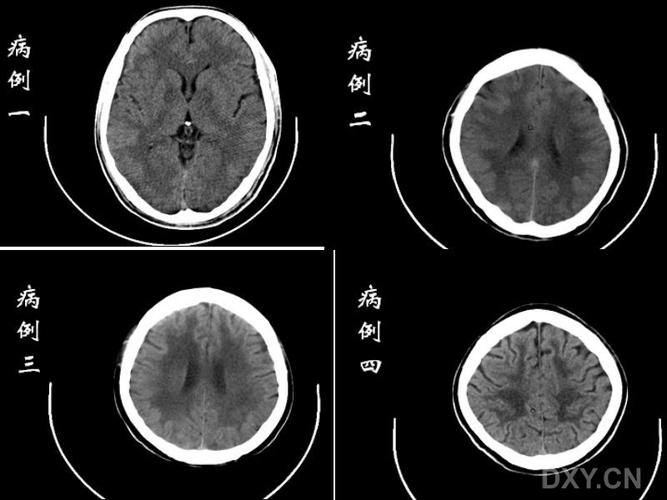
缺血性脑白质病变
缺血性脑白质病变,脑白质缺血性改变
核磁共振报告:脑白质病变?
缺血性脑白质病变的诊断和治疗.pdf 3页
脑白质病变的影像表现与鉴别诊断 | 影像天地
脑白质病变的影像学鉴别诊断
脑白质病变_new_new解析.docx
更多推荐
脑白质缺血性改变
脑白质病变
缺血性脑血管病
脑白质脱髓鞘病变
轻度脑白质变性
脑灰质和脑白质
脑白质变性
缺血性视神经病变
脑白质脑灰质解剖
脑白质和脑灰质图片
缺血性脑卒中症状
缺血性脑卒中
脑白质脱髓鞘改变
脑灰质和脑白质解剖图
脑白质病
脑白质疏松是什么病
缺血性脑卒中图片
缺血性脑卒中动图
脑白质
脑白质脱髓鞘
脑白质疏松
缺血性视神经病变图片
脑白质脱髓鞘CT
脑白质位置
脑白质软化
脑白质高信号
脑白质图片
脑白质解剖
脑白质解剖图
脱髓鞘病变