首页
伤感说说
动漫配图
心情说说
抖音文案
伤感图片
伤感说说:
伤感的句子说说心情
空间说说
心情说说
爱情说说
女生伤感说说
人生感悟
心情不好的说说
说说带图片
关于生活的说说
说说心情短语
qq空间说说带图片
个性说说
励志名言
一句话经典语录
感悟人生的经典句子
短句吧
情感故事
抖音文案
伤感图片:
伤感图片带字
非主流伤感图片
唯美伤感图片
女生伤感图片
唯美意境图片
悲伤的图片
唯美意境伤感图片
只有字的伤感图片
说说图片
伤心的图片
美甲图片
图片大全
情感图片
微信头像男
动态壁纸
动漫配图
伤感图片
首页
>
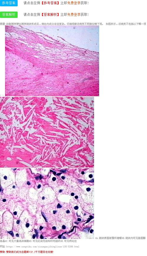
纤维帽 动脉粥样硬化
纤维帽 动脉粥样硬化,纤维帽图片 动脉硬化
一文读懂 | 动脉硬化 vs 动脉粥样硬化
动脉粥样硬化病理图谱 薄纤维帽(1)
无忧文档 所有分类 医药卫生 高血压抗动脉粥样硬化治疗ppt 纤维帽
粥样斑块=纤维帽脂质核动脉粥样硬化.ppt
所有题库 病理学高级职称题库 试题二 题目详情 动脉粥样硬化粥样
更多推荐
纤维帽图片 动脉硬化
纤维帽
动脉粥样硬化手绘图
动脉粥样硬化纤维帽
纤维帽动脉粥样硬化
纤维帽图片动脉硬化
动脉粥样硬化
动脉粥样硬化形成
动脉粥样硬化血管
动脉粥样硬化斑块
动脉粥样硬化镜下
主动脉粥样硬化
动脉粥样硬化切片
动脉粥样硬化红蓝
动脉粥样硬化原因
动脉粥样硬化实图
动脉粥样硬化示意图
动脉粥样硬化显微镜
主动脉粥样硬化图片
动脉粥样硬化镜下观
动脉粥样硬化斑块图片
动脉粥样硬化图片
动脉粥样硬化超声
什么叫动脉斑块纤维帽
粥样斑块的纤维帽
动脉粥样硬化真实图片
动脉粥样硬化解剖图
动脉粥样硬化gif
动脉粥样硬化切片绘图
动脉粥样硬化红蓝绘图