首页
伤感说说
动漫配图
心情说说
抖音文案
伤感图片
伤感说说:
伤感的句子说说心情
空间说说
心情说说
爱情说说
女生伤感说说
人生感悟
心情不好的说说
说说带图片
关于生活的说说
说说心情短语
qq空间说说带图片
个性说说
励志名言
一句话经典语录
感悟人生的经典句子
短句吧
情感故事
抖音文案
伤感图片:
伤感图片带字
非主流伤感图片
唯美伤感图片
女生伤感图片
唯美意境图片
悲伤的图片
唯美意境伤感图片
只有字的伤感图片
说说图片
伤心的图片
美甲图片
图片大全
情感图片
微信头像男
动态壁纸
动漫配图
伤感图片
首页
>
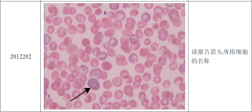
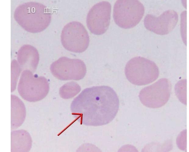
嗜多色红细胞
嗜多色红细胞,网织红细胞
浆质体vs嗜多色性红细胞
嗜多色性红细胞
2.嗜碱性点彩红细胞
嗜多色性红细胞内一个豪焦小体,多见于溶贫,巨幼贫和mds.
07嗜多色红细胞增多提示骨髓中红细胞系统造血功能活跃,见于溶血性
更多推荐
网织红细胞
嗜碱性点彩红细胞
嗜多色红细胞图片
灰色血小板
点彩红细胞
红细胞巨噬细胞
工作细胞红细胞
嗜多色红细胞形态图片
红细胞
红细胞全身
红细胞形态
高色素性红细胞
红细胞贫血
中幼红细胞
早幼红细胞
靶形红细胞
原始红细胞
红细胞显微镜
红细胞卡通
红细胞图片
红细胞壁纸
红细胞结构图
红细胞分布宽度偏高
红细胞结构简图
红细胞手绘图
红细胞图片显微镜
红细胞图片卡通
红细胞简笔画
原始红细胞手绘图
红细胞图片简笔画