首页
伤感说说
动漫配图
心情说说
抖音文案
伤感图片
伤感说说:
伤感的句子说说心情
空间说说
心情说说
爱情说说
女生伤感说说
人生感悟
心情不好的说说
说说带图片
关于生活的说说
说说心情短语
qq空间说说带图片
个性说说
励志名言
一句话经典语录
感悟人生的经典句子
短句吧
情感故事
抖音文案
伤感图片:
伤感图片带字
非主流伤感图片
唯美伤感图片
女生伤感图片
唯美意境图片
悲伤的图片
唯美意境伤感图片
只有字的伤感图片
说说图片
伤心的图片
美甲图片
图片大全
情感图片
微信头像男
动态壁纸
动漫配图
伤感图片
首页
>
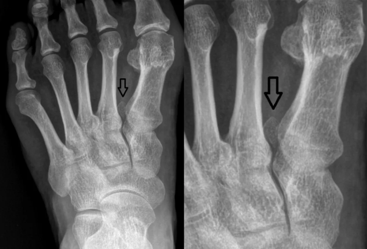
脚籽骨突出图片
脚籽骨突出图片,足籽骨位置
工作中有意思的—足部副骨与籽骨
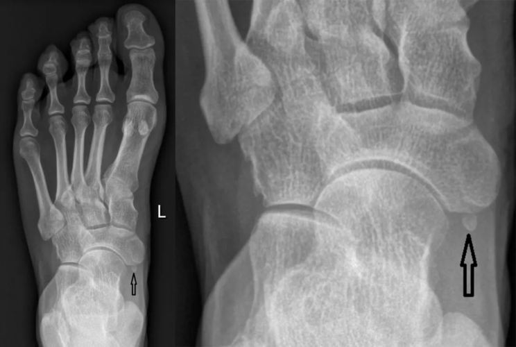
足踝撕脱性骨折与籽骨分不清楚?背下这张图再也不会漏
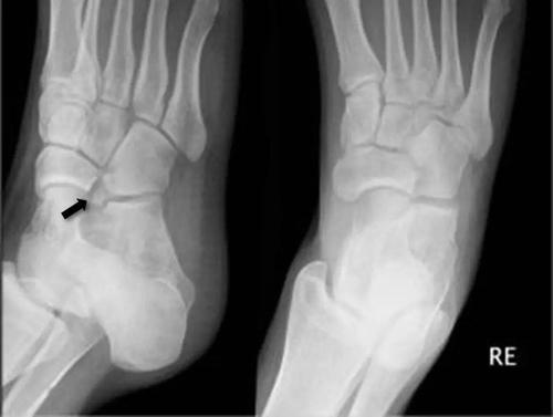
籽骨骨折
12种常见足踝部籽骨,小骨及变异
足踝撕脱性骨折与籽骨分不清楚?背下这张图再也不会漏
更多推荐
足籽骨位置
左脚扭伤照片真实图片
籽骨位置图片
足部籽骨
籽骨骨折
脚籽骨突出
拇指籽骨
脚大拇指籽骨图片
足籽骨的位置图
骨龄片籽骨在哪图片
籽骨是什么骨图片
足部籽骨图片
骨龄籽骨图片
手指籽骨图片
手腕籽骨图片
大拇指籽骨图片
籽骨图片
手部籽骨图片
手掌籽骨图片
第一掌骨远端籽骨图片
儿童手指籽骨图片
剑突突出图片
儿童肩胛骨突出图片
尾椎骨突出真人图片
脚籽骨疼
大脚趾籽骨
左手大拇指籽骨图片
肩胛骨突出驼背图片
手指拇指籽骨x光片图
牙槽骨突出图片