首页
伤感说说
动漫配图
心情说说
抖音文案
伤感图片
伤感说说:
伤感的句子说说心情
空间说说
心情说说
爱情说说
女生伤感说说
人生感悟
心情不好的说说
说说带图片
关于生活的说说
说说心情短语
qq空间说说带图片
个性说说
励志名言
一句话经典语录
感悟人生的经典句子
短句吧
情感故事
抖音文案
伤感图片:
伤感图片带字
非主流伤感图片
唯美伤感图片
女生伤感图片
唯美意境图片
悲伤的图片
唯美意境伤感图片
只有字的伤感图片
说说图片
伤心的图片
美甲图片
图片大全
情感图片
微信头像男
动态壁纸
动漫配图
伤感图片
首页
>
经颅磁部位分区
经颅磁部位分区,经颅磁定位图
医海探弋,经颅磁刺激(tms)定位技术的发展分析
经颅磁刺激临床操作常见问题
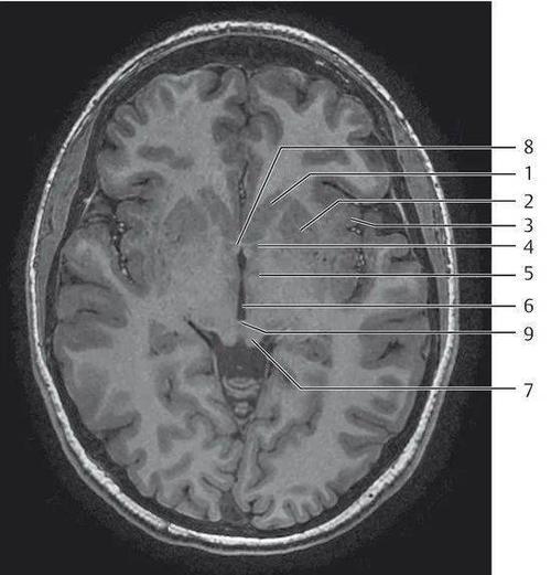
脑磁共振局部解剖功能图解
超详细颅脑mri常用解剖
334.头部磁共振解剖
更多推荐
经颅磁定位图
经颅磁刺激位置图
经颅磁刺激定位图
经颅磁
经颅磁治疗仪
颈部分区
经颅磁帽子
颅顶是哪个部位图片
大脑分区
医用经颅磁刺激仪
经颅磁刺激仪图片
功能分区
颈部淋巴结分区
头部部位名称大全图
功能分区图
分区
头针分区图
上海分区
面部美容部位图解
颅顶位置图片
人体器官部位图
颈部淋巴结分区示意图
北京分区
中国七大地理分区
杭州分区
人体器官有哪些部位
髋关节在哪个部位
颅底在哪个位置图片
杭州分区图
身体部位图