首页
伤感说说
动漫配图
心情说说
抖音文案
伤感图片
伤感说说:
伤感的句子说说心情
空间说说
心情说说
爱情说说
女生伤感说说
人生感悟
心情不好的说说
说说带图片
关于生活的说说
说说心情短语
qq空间说说带图片
个性说说
励志名言
一句话经典语录
感悟人生的经典句子
短句吧
情感故事
抖音文案
伤感图片:
伤感图片带字
非主流伤感图片
唯美伤感图片
女生伤感图片
唯美意境图片
悲伤的图片
唯美意境伤感图片
只有字的伤感图片
说说图片
伤心的图片
美甲图片
图片大全
情感图片
微信头像男
动态壁纸
动漫配图
伤感图片
首页
>
DR片
DR片,MRI片
胸部正,侧位dr片——治疗前后摄片对比
小朱腰椎的正位dr片
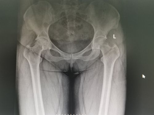
dr片示:右侧股骨头形态完整,内密度不均匀,可以多发斑片状低密度影,髋
门诊dr片:左手小指末节指骨部分缺如,左手第四掌骨螺旋形骨折,断端
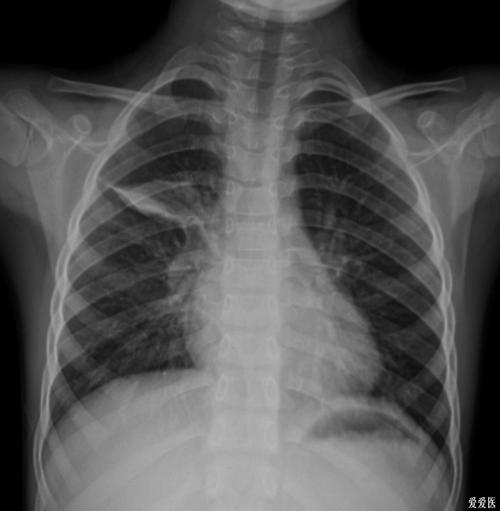
胸部正位dr片双肺多发透亮影
更多推荐
MRI片
DR胸片
CT片
DR片