首页
伤感说说
动漫配图
心情说说
抖音文案
伤感图片
伤感说说:
伤感的句子说说心情
空间说说
心情说说
爱情说说
女生伤感说说
人生感悟
心情不好的说说
说说带图片
关于生活的说说
说说心情短语
qq空间说说带图片
个性说说
励志名言
一句话经典语录
感悟人生的经典句子
短句吧
情感故事
抖音文案
伤感图片:
伤感图片带字
非主流伤感图片
唯美伤感图片
女生伤感图片
唯美意境图片
悲伤的图片
唯美意境伤感图片
只有字的伤感图片
说说图片
伤心的图片
美甲图片
图片大全
情感图片
微信头像男
动态壁纸
动漫配图
伤感图片
首页
>
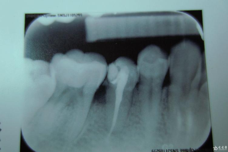
根管治疗小牙片
根管治疗小牙片,根管治疗的根管图片
根管治疗前后牙片,求助!
↓↓↓ 根管治疗时反复拍牙片的原因 有在我院做过根管治疗的患者都
根管治疗后的牙片,,求诊断.
一年前做完根管治疗之后顺便拍了一张牙片
之前在诊所做完根管治疗后,拍了牙片,医生说充填过细而且有超充,很有
更多推荐
根管治疗的根管图片
根管治疗根充图片
门牙根管治疗
根管治疗牙套
根管治疗图片
根管治疗
牙齿根管治疗步骤图
根管治疗步骤
根管治疗费用
根管治疗示意图
根管治疗步骤图片
根管治疗疼吗
根管治疗痛不痛
根管治疗后牙齿的寿命
牙科小牙片机拍片技巧
小牙片图片
根管治疗卡通
根管治疗流程图
根管治疗过程图解
小牙片
不要随便做根管治疗
根管治疗动态图
小牙片教程
口腔小牙片
小牙片技巧
根管治疗图片卡通图
小牙片机
口腔小牙片机
牙片图片
根尖有炎症的牙片图