首页
伤感说说
动漫配图
心情说说
抖音文案
伤感图片
伤感说说:
伤感的句子说说心情
空间说说
心情说说
爱情说说
女生伤感说说
人生感悟
心情不好的说说
说说带图片
关于生活的说说
说说心情短语
qq空间说说带图片
个性说说
励志名言
一句话经典语录
感悟人生的经典句子
短句吧
情感故事
抖音文案
伤感图片:
伤感图片带字
非主流伤感图片
唯美伤感图片
女生伤感图片
唯美意境图片
悲伤的图片
唯美意境伤感图片
只有字的伤感图片
说说图片
伤心的图片
美甲图片
图片大全
情感图片
微信头像男
动态壁纸
动漫配图
伤感图片
首页
>
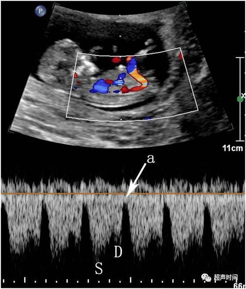
胎儿静脉导管血流
胎儿静脉导管血流,胎儿静脉导管血流频谱
孕早期超声扫查规范(fmf 版):静脉导管血流
孕早期超声扫查规范(fmf 版):静脉导管血流
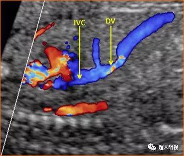
胎儿静脉导管
静脉导管血流频谱
胎儿静脉导管缺失有关文献学习
更多推荐
胎儿静脉导管血流频谱
胎儿静脉导管
胎儿静脉导管图
胎儿静脉导管缺如
胎儿静脉导管解剖
胎儿静脉导管频谱
胎儿静脉导管正常值
胎儿动脉导管
静脉导管对胎儿的意义
胎儿静脉导管解剖图
胎儿静脉导管超声切面
胎儿静脉导管超声图片
胎儿静脉导管a波反向
胎儿动脉导管解剖图
胎儿动脉导管超声图片
静脉导管
静脉导管超声图
脐静脉导管
外周静脉导管
中心静脉导管
血管血流
双腔中心静脉导管
中心静脉导管感染
静脉导管a波
中心静脉导管包
静脉导管解剖图
中心静脉导管图片
正常静脉导管频谱图
上下腔静脉血流方向图
中心静脉导管双腔开口