首页
伤感说说
动漫配图
心情说说
抖音文案
伤感图片
伤感说说:
伤感的句子说说心情
空间说说
心情说说
爱情说说
女生伤感说说
人生感悟
心情不好的说说
说说带图片
关于生活的说说
说说心情短语
qq空间说说带图片
个性说说
励志名言
一句话经典语录
感悟人生的经典句子
短句吧
情感故事
抖音文案
伤感图片:
伤感图片带字
非主流伤感图片
唯美伤感图片
女生伤感图片
唯美意境图片
悲伤的图片
唯美意境伤感图片
只有字的伤感图片
说说图片
伤心的图片
美甲图片
图片大全
情感图片
微信头像男
动态壁纸
动漫配图
伤感图片
首页
>
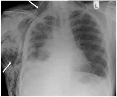
气胸的典型x线表现
气胸的典型x线表现,气胸的x线表现
气胸的x线表现
气胸的x线表现.pptx
气胸患者胸部x线表现
少量气胸的检出ct优于x线平片.
图文详解丨气胸的影像学表现
更多推荐
气胸的x线表现
气胸的x线表现图片
气胸线典型
典型气胸x线胸片图解
气胸胸片典型图片
气胸胸片典型图片x片
气胸x线胸片特征
肺气肿胸片典型图片
气胸x线胸片
气胸x线胸片图解
胸腔积液胸片典型图片
气胸x线胸片报告
气胸线
气胸是怎么引起的
正常胸片和气胸胸片
气胸胸片解读
气胸三线法
气胸线图片
三种气胸的列表比较图
气胸胸片怎么看
气胸胸片图解
气胸胸片
开放性气胸
闭合性气胸
三种气胸的比较图
气胸
气胸是什么症状
气胸四大症状
气胸病人
气胸排气