首页
伤感说说
动漫配图
心情说说
抖音文案
伤感图片
伤感说说:
伤感的句子说说心情
空间说说
心情说说
爱情说说
女生伤感说说
人生感悟
心情不好的说说
说说带图片
关于生活的说说
说说心情短语
qq空间说说带图片
个性说说
励志名言
一句话经典语录
感悟人生的经典句子
短句吧
情感故事
抖音文案
伤感图片:
伤感图片带字
非主流伤感图片
唯美伤感图片
女生伤感图片
唯美意境图片
悲伤的图片
唯美意境伤感图片
只有字的伤感图片
说说图片
伤心的图片
美甲图片
图片大全
情感图片
微信头像男
动态壁纸
动漫配图
伤感图片
首页
>
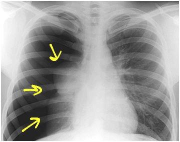
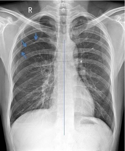
气胸x线胸片图片
气胸x线胸片图片,气胸胸片典型图片
气胸的x线表现.pptx
从胸片及ct检查常用于诊断气胸,胸片儿简单便捷.
图解胸外——自发性气胸的诊断和治疗
气胸的x线表现
气胸的x线表现,6个病例帮你搞定!
更多推荐
气胸胸片典型图片
气胸x线胸片图解x光片
正常胸片和气胸胸片
气胸x线胸片图解
气胸x线胸片图解胸廓
气胸x线胸片
气胸胸片图解
矽肺x线胸片图片
气胸x线胸片特征
典型气胸x线胸片图解
液气胸的x线图片
气胸胸片
气胸胸片怎么看
气胸胸片典型
气胸的x线表现图片
肺气肿x线图片
气胸x片图片及报告
胸腔积液x线胸片图解
胸腔积液胸片典型图片
正常胸片与气胸胸对比
正常胸片和异常胸片
肺结核的胸片图片
肺结核x线胸片图解x光
气胸的x线表现
肺结核x线胸片图解
肺结核x线胸片
气胸X线
肺结核胸片跟正常胸片
气胸的ct表现图片
胸腔积液胸片