首页
伤感说说
动漫配图
心情说说
抖音文案
伤感图片
伤感说说:
伤感的句子说说心情
空间说说
心情说说
爱情说说
女生伤感说说
人生感悟
心情不好的说说
说说带图片
关于生活的说说
说说心情短语
qq空间说说带图片
个性说说
励志名言
一句话经典语录
感悟人生的经典句子
短句吧
情感故事
抖音文案
伤感图片:
伤感图片带字
非主流伤感图片
唯美伤感图片
女生伤感图片
唯美意境图片
悲伤的图片
唯美意境伤感图片
只有字的伤感图片
说说图片
伤心的图片
美甲图片
图片大全
情感图片
微信头像男
动态壁纸
动漫配图
伤感图片
首页
>
扁平上皮细胞
扁平上皮细胞,蛋白管型
上皮细胞形态图谱 扁平上皮细胞 扁平上皮细胞
鳞状上皮细胞(扁平上皮细胞).
组织胚胎学课件-上皮组织 单层扁平上皮 单层立方上皮 单层柱状上皮
上皮细胞
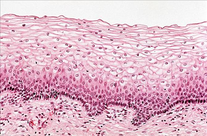
1.上皮组织(复层扁平上皮)
更多推荐
蛋白管型
肾小管上皮细胞图片
复粒细胞
扁平上皮细胞手绘
移行上皮细胞
白带上皮细胞
上皮细胞
小圆上皮细胞
上皮细胞图片
上皮细胞简图
上皮细胞绘图
肺泡上皮细胞
小肠上皮细胞
上皮细胞的肯定
鳞状上皮细胞
上皮细胞手绘
上皮细胞显微镜
上皮细胞结构图
上皮细胞模式图
上皮细胞图手绘
单层扁平上皮
小肠绒毛上皮细胞
上皮细胞表情包
上皮细胞高是什么原因
复层扁平上皮
小肠上皮细胞手绘
口腔上皮细胞图片
人口腔上皮细胞图
小肠上皮细胞手绘图
扁平