首页
伤感说说
动漫配图
心情说说
抖音文案
伤感图片
伤感说说:
伤感的句子说说心情
空间说说
心情说说
爱情说说
女生伤感说说
人生感悟
心情不好的说说
说说带图片
关于生活的说说
说说心情短语
qq空间说说带图片
个性说说
励志名言
一句话经典语录
感悟人生的经典句子
短句吧
情感故事
抖音文案
伤感图片:
伤感图片带字
非主流伤感图片
唯美伤感图片
女生伤感图片
唯美意境图片
悲伤的图片
唯美意境伤感图片
只有字的伤感图片
说说图片
伤心的图片
美甲图片
图片大全
情感图片
微信头像男
动态壁纸
动漫配图
伤感图片
首页
>
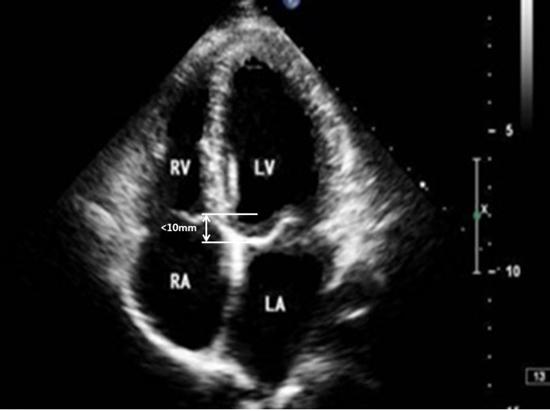
心尖四腔心切面示意图
心尖四腔心切面示意图,心尖五腔心切面示意图
心尖四腔观变异切面
冬季护肺亦是护心从心脏结构谈心血管疾病
心尖四腔心切面:前侧壁基底段,前侧壁中间段,后间隔基底段,后间隔
逐渐向下倾斜探头,可获得以下三个切面: 主动脉根部短轴切面 心尖四腔
心尖四腔心切面(上)
更多推荐
心尖五腔心切面示意图
心尖五腔心切面图
超声心尖五腔心示意图
心尖五腔心切面
心脏五腔心切面图片
脊髓横切面示意图
眼球水平切面示意图
茎的横切面结构示意图
三血管气管切面示意图
蚯蚓横切面示意图
小肠横切面结构示意图
小麦横切面结构示意图
脊髓横切面结构示意图
玉米横切面结构示意图
树干横切面结构示意图
木材三切面示意图
叶片横切面结构示意图
脊髓横切面示意图手绘
子宫图结构示意图
心脏切面手绘图
人体心脏结构示意图
心脏示意图
人体肌肉结构图示意图
示意图
脊髓横切面简图
叶片横切面结构图
nt标准切面的9幅图
脊髓横切面手绘图
叶片横切面结构图说明
人体结构示意图器官