首页
伤感说说
动漫配图
心情说说
抖音文案
伤感图片
伤感说说:
伤感的句子说说心情
空间说说
心情说说
爱情说说
女生伤感说说
人生感悟
心情不好的说说
说说带图片
关于生活的说说
说说心情短语
qq空间说说带图片
个性说说
励志名言
一句话经典语录
感悟人生的经典句子
短句吧
情感故事
抖音文案
伤感图片:
伤感图片带字
非主流伤感图片
唯美伤感图片
女生伤感图片
唯美意境图片
悲伤的图片
唯美意境伤感图片
只有字的伤感图片
说说图片
伤心的图片
美甲图片
图片大全
情感图片
微信头像男
动态壁纸
动漫配图
伤感图片
首页
>
petct图片怎么看肿瘤
petct图片怎么看肿瘤,petct正常的影像图
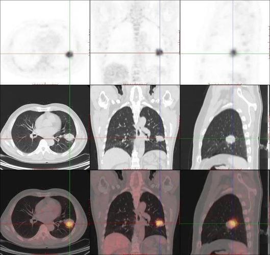
幸运的是,pet/ct图像显示该患者除肺部肿瘤除原发灶外,没有发现淋巴
pet-ct是怎么查出肿瘤的
西安高尚医学影像:pet/ct在肿瘤治疗决策中的应用
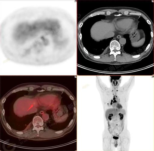
高尚案例petct肿瘤分期低分化肺腺癌小结节大转移两例
大妈疫情忍腹痛,pet-ct查出大端倪
更多推荐
petct正常的影像图
petct图片
肿瘤长什么样图片
petct图片显示全身黑点
正常人petct图像
如何看懂petct影像图片
petct报告单
petct怎么看图片
petct肿瘤
petct癌症报告单图片
petct报告单图片
petct机器图片
petct报告单实例图片
petct影像图
肿瘤图片真实
皮肤肿瘤的图片
教你看懂petct检查报告
淋巴肿瘤图片早期
淋巴肿瘤图片
火化后肿瘤癌真实图片
头颅CT图片
黑色素瘤图片早期