首页
伤感说说
动漫配图
心情说说
抖音文案
伤感图片
伤感说说:
伤感的句子说说心情
空间说说
心情说说
爱情说说
女生伤感说说
人生感悟
心情不好的说说
说说带图片
关于生活的说说
说说心情短语
qq空间说说带图片
个性说说
励志名言
一句话经典语录
感悟人生的经典句子
短句吧
情感故事
抖音文案
伤感图片:
伤感图片带字
非主流伤感图片
唯美伤感图片
女生伤感图片
唯美意境图片
悲伤的图片
唯美意境伤感图片
只有字的伤感图片
说说图片
伤心的图片
美甲图片
图片大全
情感图片
微信头像男
动态壁纸
动漫配图
伤感图片
首页
>
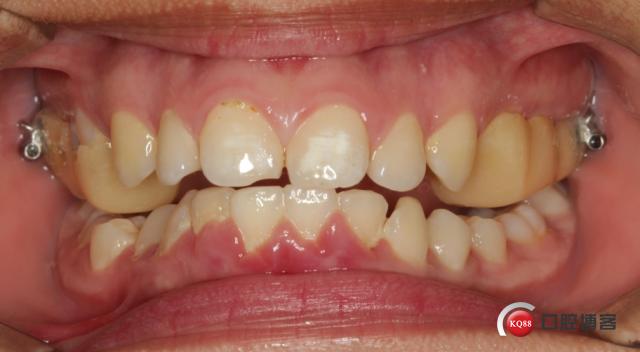
粘固式sgtb矫治器图片
粘固式sgtb矫治器图片,粘玉米图片大全图片
二次正畸 sgtb毕业了_牙齿矫正_牙套_我的正畸之旅_美
除了sgtb矫治,目前隐形矫正界的鼻祖—隐适美,也有了前导下颌的技术
与传统的矫正技术不同,sgtb 技术通过解决颌骨问题——使上颌的颌骨后
自制sgtb矫正骨性二类错合一例
精美矫治器图片
更多推荐
粘玉米图片大全图片
粘米图片
粘粘虫图片
粘扣图片
粘发票怎么粘图片
粘锅图片
粘鱼图片
地粘草的图片大全
粘蚂蚁图片
花生粘图片
粘砖图片大全
鼠粘子图片
粘玉米图片
粘蚜虫图片
粘玉米图片高清
塑料粘扣图片
煮粘玉米图片大全大图
图片
二十三糖瓜粘图片
早上好图片最新图片
熟粘玉米图片
煮粘玉米图片
糖瓜粘图片简笔画
粘鱼网价格图片
图片味道
花的图片
粘草子植物图片
图片就这样
图片传说
风景图片