首页
伤感说说
动漫配图
心情说说
抖音文案
伤感图片
伤感说说:
伤感的句子说说心情
空间说说
心情说说
爱情说说
女生伤感说说
人生感悟
心情不好的说说
说说带图片
关于生活的说说
说说心情短语
qq空间说说带图片
个性说说
励志名言
一句话经典语录
感悟人生的经典句子
短句吧
情感故事
抖音文案
伤感图片:
伤感图片带字
非主流伤感图片
唯美伤感图片
女生伤感图片
唯美意境图片
悲伤的图片
唯美意境伤感图片
只有字的伤感图片
说说图片
伤心的图片
美甲图片
图片大全
情感图片
微信头像男
动态壁纸
动漫配图
伤感图片
首页
>
裸核细胞
裸核细胞,细胞
宫颈脱落细胞检查 请问划圈的是不是裸核? 请问病理科大夫
原始巨核细胞;2.幼稚巨核细胞;3.颗粒巨核细胞;4.
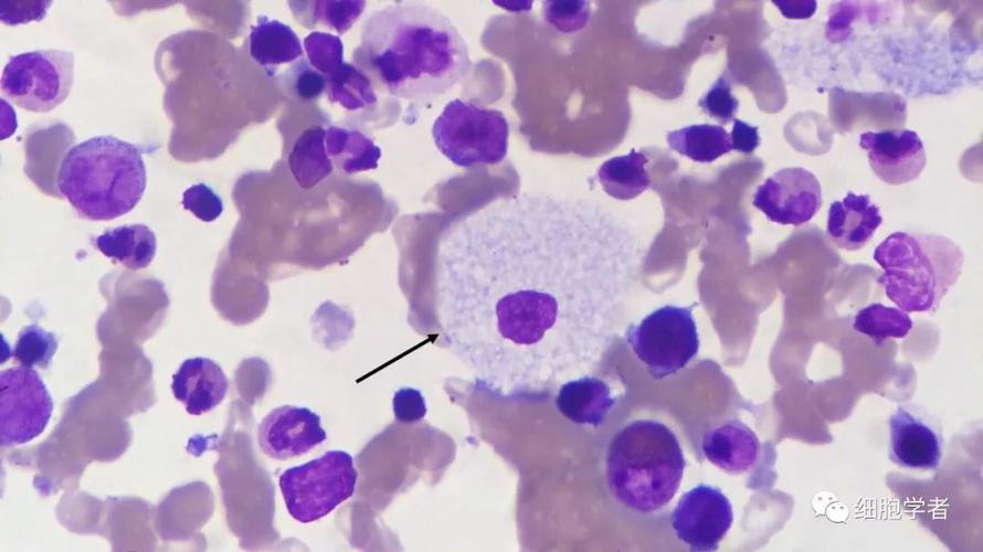
来源于:君安医学细胞平台(基础2台) ▼ 「裸核型巨核细胞」
「吞噬细胞(噬血细胞)」 14 来源:骨髓-瑞氏染色 「成骨
实验三 巨核细胞系统形态观察ppt
更多推荐
细胞
细胞免疫
白细胞
工作细胞
细胞结构
死亡细胞
神经细胞
人体细胞
植物细胞
细胞图片
动物细胞
海拉细胞
细胞结构图
工作细胞人物
工作细胞人体
死亡细胞地图
工作细胞头像
工作细胞漫画
死亡细胞壁纸
死亡细胞头像
工作细胞壁纸
动物细胞结构图
洋葱表皮细胞结构图