首页
伤感说说
动漫配图
心情说说
抖音文案
伤感图片
伤感说说:
伤感的句子说说心情
空间说说
心情说说
爱情说说
女生伤感说说
人生感悟
心情不好的说说
说说带图片
关于生活的说说
说说心情短语
qq空间说说带图片
个性说说
励志名言
一句话经典语录
感悟人生的经典句子
短句吧
情感故事
抖音文案
伤感图片:
伤感图片带字
非主流伤感图片
唯美伤感图片
女生伤感图片
唯美意境图片
悲伤的图片
唯美意境伤感图片
只有字的伤感图片
说说图片
伤心的图片
美甲图片
图片大全
情感图片
微信头像男
动态壁纸
动漫配图
伤感图片
首页
>
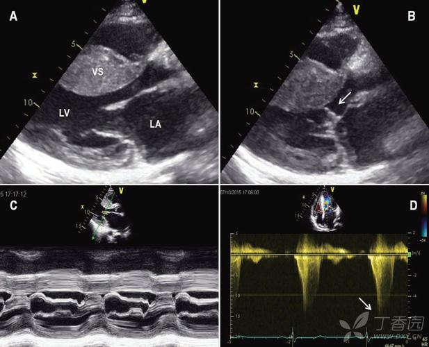
sam征超声表现
sam征超声表现,sam征
网易首页>正文申请入驻> 选自《心血管超声诊断学图解》赵博文主编
超声心动图 sam征小知识
扁柏的功效与作用(原来全身是宝)
二尖瓣可见偏心性返流,提示该患者存在sam征
实际上这幅超声图像采集自一例安装有左心室辅助装置的心衰终末期患者
更多推荐
sam征
二尖瓣sam征示意图
二尖瓣sam征图
sam征超声示意图
sam征超声心动图
sam现象超声图片
sam征阳性超声图片
脂肪肝超声表现
动脉导管未闭超声表现
肝包虫病超声表现图片
超声
超声心动
超声诊断
超声检查
超声机
二尖瓣sam征M型示意图
sam征图片
超声内镜
超声仪
乳腺超声
超声仪器
超声心动图
肝包虫病超声图片
超声科
肥厚型心肌病sam征图片
超声探头分类
超声探头
超声光栅
超声图像
肝包虫囊肿超声图片