首页
伤感说说
动漫配图
心情说说
抖音文案
伤感图片
伤感说说:
伤感的句子说说心情
空间说说
心情说说
爱情说说
女生伤感说说
人生感悟
心情不好的说说
说说带图片
关于生活的说说
说说心情短语
qq空间说说带图片
个性说说
励志名言
一句话经典语录
感悟人生的经典句子
短句吧
情感故事
抖音文案
伤感图片:
伤感图片带字
非主流伤感图片
唯美伤感图片
女生伤感图片
唯美意境图片
悲伤的图片
唯美意境伤感图片
只有字的伤感图片
说说图片
伤心的图片
美甲图片
图片大全
情感图片
微信头像男
动态壁纸
动漫配图
伤感图片
首页
>
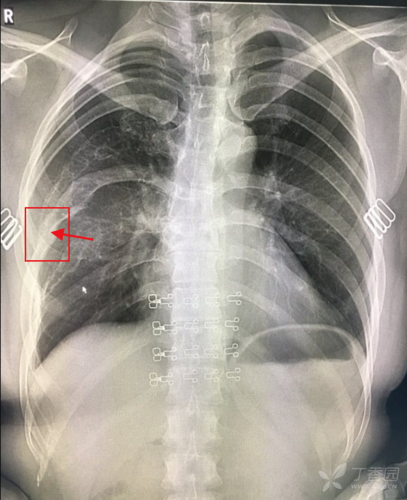
肋骨畸形分为哪几类
肋骨畸形分为哪几类,肋骨分叉
或者肋骨部分缺失2根以上;肋骨骨折4根以上并后遗2处畸形愈合
其中右第7肋骨似有骨折后畸形愈合的表现,亦符合骨纤维异常增殖症易伴
肋软骨耳畸形矫正手术失败后,小耳畸形患者该何去何从
而在临床上,大家习惯于将与肋弓相连的诸肋骨前胸壁部分也当做肋弓的
鸡胸畸形一般认为与漏斗胸畸形一样与遗传有关,多数人认为是肋骨和肋
更多推荐
肋骨分叉
肋骨畸形
肋骨发育畸形图片
肋骨分叉畸形
肋骨骨折畸形愈合
肋骨联合畸形
肋骨骨折畸形愈合图片
肋骨分叉畸形图片
肋骨畸形图片
肋骨联合畸形图片
肋骨畸形愈合图片
先天性肋骨畸形图片
胸骨畸形
肋骨错位畸形愈合图片
肋骨在哪
肋骨胸骨
肋骨骨折
胸廓畸形
肋骨外翻
胸廓塌陷畸形
肋骨突出
人体肋骨分布图
肋骨
肋骨融合
肋骨外翻怎么矫正
肋骨凹陷
肋骨鼻
肋骨人体
肋骨胸前
肋骨外翻图片