首页
伤感说说
动漫配图
心情说说
抖音文案
伤感图片
伤感说说:
伤感的句子说说心情
空间说说
心情说说
爱情说说
女生伤感说说
人生感悟
心情不好的说说
说说带图片
关于生活的说说
说说心情短语
qq空间说说带图片
个性说说
励志名言
一句话经典语录
感悟人生的经典句子
短句吧
情感故事
抖音文案
伤感图片:
伤感图片带字
非主流伤感图片
唯美伤感图片
女生伤感图片
唯美意境图片
悲伤的图片
唯美意境伤感图片
只有字的伤感图片
说说图片
伤心的图片
美甲图片
图片大全
情感图片
微信头像男
动态壁纸
动漫配图
伤感图片
首页
>
克氏针固定
克氏针固定,外露克氏针取出图解
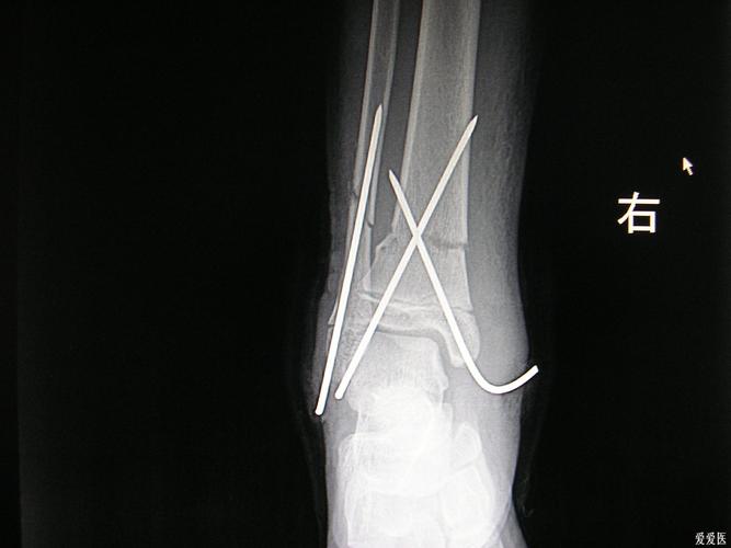
胫腓骨远端骨折闭合克氏针一例
图4.使用三点折弯钳将如图折弯克氏针尖端.
巧用克氏针治疗骨性锤状指
一期修复神经血管,肌腱,彻底清创,尺桡骨及腕部克氏针固定!
腕关节克氏针固定大体像.
更多推荐
外露克氏针取出图解
克氏针一般多久能拆
克氏针怎么取出来
克氏针价格
克氏针外固定
克氏针图片取出
拔克氏针收费标准
拔克氏针疼吗
外露克氏针取出
医院取克氏针图片
克氏针图片
克氏针内固定术
克氏针
克氏针取出
克氏针手术
拔克氏针
外露克氏针
拔外露克氏针
取克氏针疼不疼
拔克氏针疼不疼
外露克氏针图片
外露克氏针取出疼吗
外露克氏针取出图片
固定支架
外固定支架
固定
内固定
松牙固定术
支具外固定
夹板固定