首页
伤感说说
动漫配图
心情说说
抖音文案
伤感图片
伤感说说:
伤感的句子说说心情
空间说说
心情说说
爱情说说
女生伤感说说
人生感悟
心情不好的说说
说说带图片
关于生活的说说
说说心情短语
qq空间说说带图片
个性说说
励志名言
一句话经典语录
感悟人生的经典句子
短句吧
情感故事
抖音文案
伤感图片:
伤感图片带字
非主流伤感图片
唯美伤感图片
女生伤感图片
唯美意境图片
悲伤的图片
唯美意境伤感图片
只有字的伤感图片
说说图片
伤心的图片
美甲图片
图片大全
情感图片
微信头像男
动态壁纸
动漫配图
伤感图片
首页
>
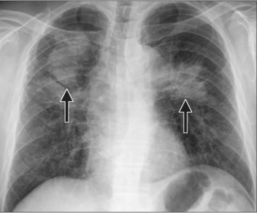
抽烟肺部x光片
抽烟肺部x光片,抽烟的肺部x光片图片
左上为吸烟者的x光照片,右上为新冠患者的x光照片,下面为正常人的
x光片,胸部,x光,竖立,展示,多,肺,水泡
不吸烟的人,也需要经常养肺!
道/2540225" data-lemmaid="2540225">呼吸道 /a>,引起的继发性肺部
环境工作,吸入大量生产性的矿物性粉尘,并且粉尘长期滞留在肺部组织里
更多推荐
抽烟的肺部x光片图片
抽烟人肺部x光片图片
抽烟的肺和不抽烟的肺
肺部x光片
正常肺部x光片
正常肺部x光片图片
肺部x光片阴影
肺部x光片怎么看
正常人肺部x光片
肺部x光片正常图
抽烟肺部
正常肺部x光片高清
抽烟人的肺部图片
抽烟肺部图片真实
抽烟肺部变黑图片
肺结核x光片
肺癌x光片
肺癌早期x光片
肺炎x光片
抽烟对肺部的影响图片
正常肺部ct片
抽烟人的肺部真实照片
x光片胸片
正常肺部胸片
正常人的肺部x光图片
吸烟的肺部
抽烟人的肺
大叶性肺炎x光片
肺部片子
抽烟十年的肺图片