首页
伤感说说
动漫配图
心情说说
抖音文案
伤感图片
伤感说说:
伤感的句子说说心情
空间说说
心情说说
爱情说说
女生伤感说说
人生感悟
心情不好的说说
说说带图片
关于生活的说说
说说心情短语
qq空间说说带图片
个性说说
励志名言
一句话经典语录
感悟人生的经典句子
短句吧
情感故事
抖音文案
伤感图片:
伤感图片带字
非主流伤感图片
唯美伤感图片
女生伤感图片
唯美意境图片
悲伤的图片
唯美意境伤感图片
只有字的伤感图片
说说图片
伤心的图片
美甲图片
图片大全
情感图片
微信头像男
动态壁纸
动漫配图
伤感图片
首页
>
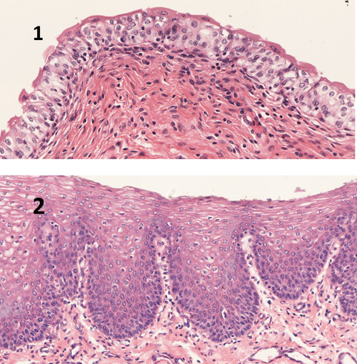
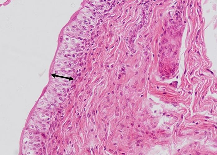
膀胱变移上皮
膀胱变移上皮,膀胱变移上皮的图片
变移上皮(膀胱)(扩张时)
膀胱 (bladder)
1,膀胱的上皮是变移上皮,属于复层上皮,仔细观察图中结构,区分图1和
4,图中箭头标识的是一种上皮组织,根据其形态,判断是哪一种类型?
变移上皮(膀胱)
更多推荐
膀胱变移上皮的图片
变移上皮
膀胱变移上皮手绘图
变移上皮图片
变移上皮结构图
变移上皮模式图
移形上皮
变移上皮细胞图片
膀胱经
膀胱
柱状上皮外移
移行上皮
膀胱男性
移行上皮细胞
膀胱女性
变移上皮显微镜图片
变移上皮手绘图
变移上皮手绘图扩张
变移上皮扩张手绘图
膀胱图片
膀胱在哪个位置图
变移上皮细胞手绘图
变移上皮收缩态手绘图
变移上皮切片手绘图
移行上皮细胞图片
膀胱经的准确位置图
假人皮皮肤男变女
男变女人皮变身
变移上皮手绘图作业
变移上皮空虚时手绘图