首页
伤感说说
动漫配图
心情说说
抖音文案
伤感图片
伤感说说:
伤感的句子说说心情
空间说说
心情说说
爱情说说
女生伤感说说
人生感悟
心情不好的说说
说说带图片
关于生活的说说
说说心情短语
qq空间说说带图片
个性说说
励志名言
一句话经典语录
感悟人生的经典句子
短句吧
情感故事
抖音文案
伤感图片:
伤感图片带字
非主流伤感图片
唯美伤感图片
女生伤感图片
唯美意境图片
悲伤的图片
唯美意境伤感图片
只有字的伤感图片
说说图片
伤心的图片
美甲图片
图片大全
情感图片
微信头像男
动态壁纸
动漫配图
伤感图片
首页
>
胰腺切片手绘图标注
胰腺切片手绘图标注,胰腺结构图
胰腺手绘图 学医学成了美术_手绘图_美术_组织学与胚胎学实验绘图
切片图没有找到,抱歉.
100个切片,注明理由, 腺泡 闰管 胰腺外分泌部
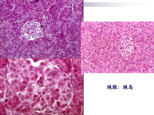
胰腺: 胰腺:胰岛
49:胰腺 外分泌部 内分泌部
更多推荐
胰腺结构图
胰腺红蓝铅笔手绘图
胰腺手绘图
胰腺切片手绘图
肝切片手绘图标注
胰腺切片红蓝手绘图
甲状腺切片手绘图
肝切片手绘图
肾切片手绘图
平滑肌切片手绘图
气管切片手绘图
胰腺细胞手绘图
平滑肌图片手绘图注解
心肌切片手绘图
胰腺组胚手绘图
空肠切片手绘图
阑尾炎切片手绘图
胰腺切片图
肝硬化病理切片手绘图
小肠切片显微镜手绘图
中动脉切片手绘图
胰腺切片显微镜图
胰岛红蓝铅笔手绘图
急性阑尾炎切片手绘图
胰腺的红蓝铅笔图
脾脏红蓝铅笔手绘图
骨骼肌纵切面手绘图
食管红蓝铅笔手绘图
肝红蓝铅笔手绘图
气管红蓝铅笔手绘图