首页
伤感说说
动漫配图
心情说说
抖音文案
伤感图片
伤感说说:
伤感的句子说说心情
空间说说
心情说说
爱情说说
女生伤感说说
人生感悟
心情不好的说说
说说带图片
关于生活的说说
说说心情短语
qq空间说说带图片
个性说说
励志名言
一句话经典语录
感悟人生的经典句子
短句吧
情感故事
抖音文案
伤感图片:
伤感图片带字
非主流伤感图片
唯美伤感图片
女生伤感图片
唯美意境图片
悲伤的图片
唯美意境伤感图片
只有字的伤感图片
说说图片
伤心的图片
美甲图片
图片大全
情感图片
微信头像男
动态壁纸
动漫配图
伤感图片
首页
>
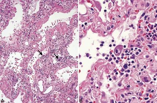
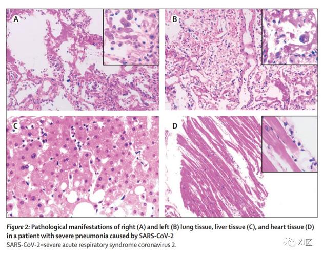
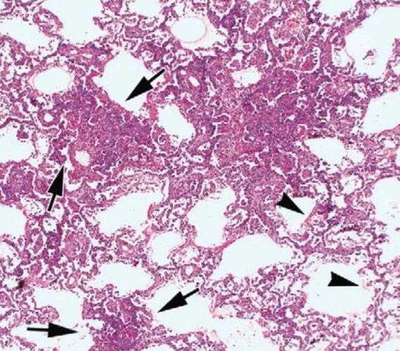
病毒性肺炎切片
病毒性肺炎切片,病毒性肺炎
从病理学角度认识并了解病毒性肺炎
刘敏:病毒性肺炎的ct影像学特征分析
病理切片_肺炎_子宫_风湿_医疗健康_医疗健康其他
病毒性肺炎的简笔画
病毒性肺炎的影像学表现
更多推荐
病毒性肺炎
病毒性肺炎CT
新冠肺炎病毒
病毒性疣图片女性
病毒性疣图片男性
预防病毒性肺炎手抄报
病毒性疱疹图片
细菌性肺炎
真菌性肺炎
病毒性疱疹
大叶性肺炎
病毒性皮疹图片
吸入性肺炎
肺孢子菌肺炎
小叶性肺炎
病毒性疣图片
病毒性水泡图片
病毒性皮疹小儿
羊传染性胸膜肺炎
儿童病毒性疱疹图片
病毒性疱疹图片初期
间质性肺炎
肺炎胸片
肺炎图片
猪传染性胸膜肺炎
病毒性软疣儿童
肺炎症状
病毒性皮疹
病毒性软疣
肺炎