首页
伤感说说
动漫配图
心情说说
抖音文案
伤感图片
伤感说说:
伤感的句子说说心情
空间说说
心情说说
爱情说说
女生伤感说说
人生感悟
心情不好的说说
说说带图片
关于生活的说说
说说心情短语
qq空间说说带图片
个性说说
励志名言
一句话经典语录
感悟人生的经典句子
短句吧
情感故事
抖音文案
伤感图片:
伤感图片带字
非主流伤感图片
唯美伤感图片
女生伤感图片
唯美意境图片
悲伤的图片
唯美意境伤感图片
只有字的伤感图片
说说图片
伤心的图片
美甲图片
图片大全
情感图片
微信头像男
动态壁纸
动漫配图
伤感图片
首页
>
肾小管镜下观察图片
肾小管镜下观察图片,肾小球镜下观察图片
肾小管水肿 显微切片图片 - 第2张
在随后各段肾小管不同的ph值和渗透压变化影响下,呈现变形,破裂
镜下观:在镜下可见呈均质红染玻璃样变性,肾小管内有均质红染的蛋白
肾小管混浊肿胀图片
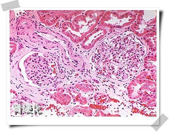
肾硬化镜下(图)
更多推荐
肾小球镜下观察图片
肾小球和肾小管图
肾小球肾小管结构图
肾小管图片
肾小球肾小管解剖图
肾小球肾小管
肾小管示意图
肾小管切片
肾小管重吸收示意图
肾小管结构图
肾小管重吸收的图解
肾小管和集合管
肾小管详细的结构图
肾小管结构示意图
肾小管解剖图
肾小管
肾小管间质
肾小管腔
肾小管功能
肾小管液
肾小管结构
肾小管重吸收
肾小管结构模式
肾小管近端
肾小管的重吸收作用
观察镜
混合血栓镜下观察特点
军用观察镜
小班观察记录表
植物角观察记录表