首页
伤感说说
动漫配图
心情说说
抖音文案
伤感图片
伤感说说:
伤感的句子说说心情
空间说说
心情说说
爱情说说
女生伤感说说
人生感悟
心情不好的说说
说说带图片
关于生活的说说
说说心情短语
qq空间说说带图片
个性说说
励志名言
一句话经典语录
感悟人生的经典句子
短句吧
情感故事
抖音文案
伤感图片:
伤感图片带字
非主流伤感图片
唯美伤感图片
女生伤感图片
唯美意境图片
悲伤的图片
唯美意境伤感图片
只有字的伤感图片
说说图片
伤心的图片
美甲图片
图片大全
情感图片
微信头像男
动态壁纸
动漫配图
伤感图片
首页
>
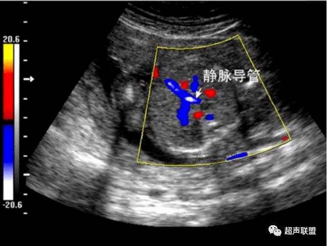
12周静脉导管a波反向
12周静脉导管a波反向,胎儿静脉导管a波反向
于无宫缩,无胎动时检查,心率>160bpm或 120bpm.
dv,a波反向
三尖瓣反流,完全性心内膜垫缺损,鼻骨显示不清,静脉导管a波反向等都是
静脉导管a波反向或消失; 4.脐静脉搏
多图案例:胎儿宫内窘迫缺氧的超声诊断,这些要点你掌握了吗?
更多推荐
胎儿静脉导管a波反向
静脉导管a波反向图片
静脉导管a波
胎儿静脉导管a波倒置
外周静脉导管
静脉导管
中心静脉导管
静脉导管超声图
胎儿静脉导管正常值
胎儿静脉导管
中心静脉导管双腔开口
双腔中心静脉导管
静脉导管对胎儿的意义
胎儿静脉导管图
胎儿静脉导管血流频谱
中心静脉导管包
胎儿静脉导管超声切面
正常静脉导管频谱图
双腔中心静脉导管图解
双腔中心静脉导管构造
动脉导管
胎儿静脉导管解剖
中心静脉导管图片
胎儿静脉导管超声图片
双腔静脉导管的分解图
cvc中心静脉导管图片
动脉导管三角
导管和筛管
导管
导管和筛管的区别