首页
伤感说说
动漫配图
心情说说
抖音文案
伤感图片
伤感说说:
伤感的句子说说心情
空间说说
心情说说
爱情说说
女生伤感说说
人生感悟
心情不好的说说
说说带图片
关于生活的说说
说说心情短语
qq空间说说带图片
个性说说
励志名言
一句话经典语录
感悟人生的经典句子
短句吧
情感故事
抖音文案
伤感图片:
伤感图片带字
非主流伤感图片
唯美伤感图片
女生伤感图片
唯美意境图片
悲伤的图片
唯美意境伤感图片
只有字的伤感图片
说说图片
伤心的图片
美甲图片
图片大全
情感图片
微信头像男
动态壁纸
动漫配图
伤感图片
首页
>
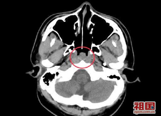
腺样体位置ct解剖图片
腺样体位置ct解剖图片,腺样体解剖位置示意图
江苏省第二中医院:腺样体肥大该不该手术
儿童腺样体肥大影像表现及诊断标准
儿童腺样体肥大影像表现及诊断标准
儿童腺样体肥大影像表现及诊断标准
(红色圈圈内为肥大的腺样体)
更多推荐
腺样体解剖位置示意图
腺样体肥大ct图片
腺样体肥大ct图详解
腺样体肥大ct测量图解
腺样体ct解剖图
腺样体解剖位置
正常腺样体ct图片
正常腺样体图片拍片
腺样体肥大ct测量图片
腺样体ct图解
腺样体解剖图
腺样体dr片子图片
腺样体图片
正常腺样体的图片
腺样体在哪个位置图
什么是腺样体肥大图片
正常的腺样体高清图片
正常腺样体肥大图片
腺样体面容图片
儿童正常腺样体图片
腺样体x光侧位片
腺样体肥大图片对比
腺样体面容初期图片
腺样体面容图片真人
腺样体面容图片儿童
儿童腺样体肥大图片
腺样体ct
上下矢状窦ct解剖图片
扁桃体ct解剖图
腺样体肥大ct