首页
伤感说说
动漫配图
心情说说
抖音文案
伤感图片
伤感说说:
伤感的句子说说心情
空间说说
心情说说
爱情说说
女生伤感说说
人生感悟
心情不好的说说
说说带图片
关于生活的说说
说说心情短语
qq空间说说带图片
个性说说
励志名言
一句话经典语录
感悟人生的经典句子
短句吧
情感故事
抖音文案
伤感图片:
伤感图片带字
非主流伤感图片
唯美伤感图片
女生伤感图片
唯美意境图片
悲伤的图片
唯美意境伤感图片
只有字的伤感图片
说说图片
伤心的图片
美甲图片
图片大全
情感图片
微信头像男
动态壁纸
动漫配图
伤感图片
首页
>
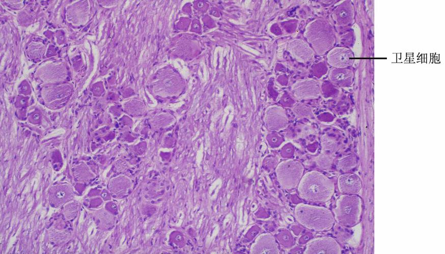
神经节细胞
神经节细胞,副神经节细胞
神经节是功能相同的神经元细胞体在中枢以外的周围部位集合而成的结
神经细胞的神经元的再生
神经细胞是神经系统的结构和功能单位,亦称
受神经节的支配,神经节是神经元的集合
【简介】 神经节是功能相同的神经元细胞体在中枢以外的周围
更多推荐
副神经节细胞
节细胞
脊神经节细胞
神经节
双极细胞
神经细胞神经元
神经节传入神经
神经细胞
脊神经节细胞结构
视网膜神经节细胞
脊神经节细胞图片
脊神经节
神经节图示
星状神经节
基底神经节
膝状神经节
神经节简易
神经节解剖
神经节图片
神经细胞漫画
脊神经节切片
脊神经节细胞手绘图
脊神经节细胞切片手绘
脊神经节细胞高尔基体
星状神经节位置
兔脊神经节细胞手绘图
膝状神经节位置
细胞
神经细胞简笔画
脊神经细胞实验绘图