首页
伤感说说
动漫配图
心情说说
抖音文案
伤感图片
伤感说说:
伤感的句子说说心情
空间说说
心情说说
爱情说说
女生伤感说说
人生感悟
心情不好的说说
说说带图片
关于生活的说说
说说心情短语
qq空间说说带图片
个性说说
励志名言
一句话经典语录
感悟人生的经典句子
短句吧
情感故事
抖音文案
伤感图片:
伤感图片带字
非主流伤感图片
唯美伤感图片
女生伤感图片
唯美意境图片
悲伤的图片
唯美意境伤感图片
只有字的伤感图片
说说图片
伤心的图片
美甲图片
图片大全
情感图片
微信头像男
动态壁纸
动漫配图
伤感图片
首页
>
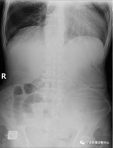
腹部液平面x线图片
腹部液平面x线图片,腹部气液平面x线图片
十二指肠球部(灯泡样),回肠末段及结肠胃底腹部常见的正常气-液平面
胃底腹部常见的正常气-液平面幽门梗阻呕吐物的特点:呕吐物为带酸
教您在4种腹部平片体位上判读急腹症
一文让你掌握,肠梗阻x线表现
x线读片精选(腹部)课件
更多推荐
腹部气液平面x线图片
正常腹部x线平片图
液平面x线图片
腹部平片液气平示意图
肺部气液平面x线图片
气液平面x线图片
正常腹部x线图片
腹部x线
气液平面x线
腹部气液平面
正常立位腹部x光图片
腹部x光片
腹部平片怎么看图解
肠梗阻x线气液平面图
正常腹部平片图
气液平面ct图片
标准腹部立位片图片
腹部图片位置图
正常腹部立位片影像图
肠梗阻液平面图片
腹部ct
液平面
肠梗阻气液平面图片
气液平面图片
腹部解剖图
腹部图
肠梗阻x线图片
腹部器官的位置图
腹部位置图
腹部