首页
伤感说说
动漫配图
心情说说
抖音文案
伤感图片
伤感说说:
伤感的句子说说心情
空间说说
心情说说
爱情说说
女生伤感说说
人生感悟
心情不好的说说
说说带图片
关于生活的说说
说说心情短语
qq空间说说带图片
个性说说
励志名言
一句话经典语录
感悟人生的经典句子
短句吧
情感故事
抖音文案
伤感图片:
伤感图片带字
非主流伤感图片
唯美伤感图片
女生伤感图片
唯美意境图片
悲伤的图片
唯美意境伤感图片
只有字的伤感图片
说说图片
伤心的图片
美甲图片
图片大全
情感图片
微信头像男
动态壁纸
动漫配图
伤感图片
首页
>
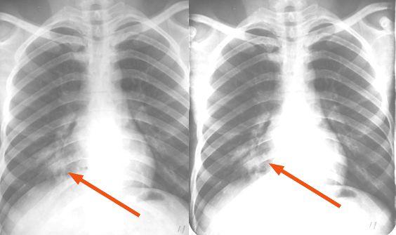
肺部气液平面x线图片
肺部气液平面x线图片,腹部气液平面x线图片
内容来源教材网络,如有侵权删 ①气液平面
肺部正常和x线异常表现
x 线表现(三大特征):肺部弥漫性病变,两肺出现多发小片状或大片状密度
怎样及早发现肺部健康问题?
平片左下肺卷发状纹 理,部分扩张支气管 内见气液平面
更多推荐
腹部气液平面x线图片
肠梗阻x线气液平面图
气液平面x线图片
气液平面x线
肠梗阻气液平面图片
气液平面ct图片
腹部平片液气平示意图
正常人的肺部ct图片
正常肺部ct图
肺部位置图片
肺部图片
腹部气液平面
正常肺部ct片
肠梗阻气液平面
膈下游离气体x线图片
气液平面图片
肺部ct
肺部在哪个位置图解
肺部结构图
肺部
肺部阴影
人体肺部结构图
肺部在哪个位置
肺部位置
人体肺部位置图
肺部结节
肺部结构
肺部人体
肺部肿瘤
抽烟人的肺部真实照片