首页
伤感说说
动漫配图
心情说说
抖音文案
伤感图片
伤感说说:
伤感的句子说说心情
空间说说
心情说说
爱情说说
女生伤感说说
人生感悟
心情不好的说说
说说带图片
关于生活的说说
说说心情短语
qq空间说说带图片
个性说说
励志名言
一句话经典语录
感悟人生的经典句子
短句吧
情感故事
抖音文案
伤感图片:
伤感图片带字
非主流伤感图片
唯美伤感图片
女生伤感图片
唯美意境图片
悲伤的图片
唯美意境伤感图片
只有字的伤感图片
说说图片
伤心的图片
美甲图片
图片大全
情感图片
微信头像男
动态壁纸
动漫配图
伤感图片
首页
>
气液平面图片
气液平面图片,气液平面x线图片
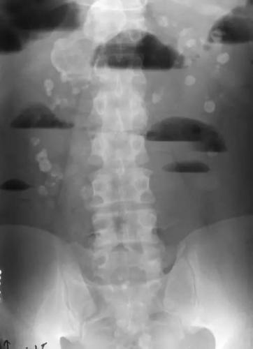
门诊dr腹部立位片提示:肠管积气,多个气液平面.
多发气液平面
气管扩张并感染 平片左下肺卷发状纹 理,部分扩张支气管 内见气液平面
入院检查见立位腹部平片阶梯排列的气液平面.
肠梗阻为什么会出现气液平面
更多推荐
气液平面x线图片
气液平面
液液酱图片
液泡图片手绘图
气液平
平面设计图片
凹液面最低处的图片
液泡图片
分液器图片
鸡蛋液图片
藿香正气液图片
平面效果图
脓液图片
脓液便图片
气调库平面
平面图
蚊香液图片
平面设计图
中药液图片
正常人的痰液图片
粘液便图片
肠癌脓液图片
气液两相流
气液包体
支气管炎的痰液图片
平面构图
气液两相流原理图解
打好的鸡蛋液图片
平面户型图
藿香正气液图片真实