首页
伤感说说
动漫配图
心情说说
抖音文案
伤感图片
伤感说说:
伤感的句子说说心情
空间说说
心情说说
爱情说说
女生伤感说说
人生感悟
心情不好的说说
说说带图片
关于生活的说说
说说心情短语
qq空间说说带图片
个性说说
励志名言
一句话经典语录
感悟人生的经典句子
短句吧
情感故事
抖音文案
伤感图片:
伤感图片带字
非主流伤感图片
唯美伤感图片
女生伤感图片
唯美意境图片
悲伤的图片
唯美意境伤感图片
只有字的伤感图片
说说图片
伤心的图片
美甲图片
图片大全
情感图片
微信头像男
动态壁纸
动漫配图
伤感图片
首页
>
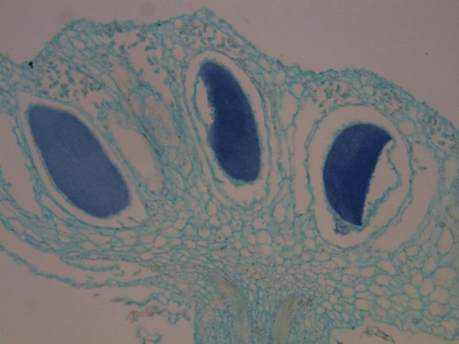
地钱精子器
地钱精子器,地钱的精子器
颈卵器,精子器和精子葫芦藓的雌雄配子葫芦藓的雄器苞叶和雌器苞护蒴
精子器
颈卵器壁 精子器 颈部 颈沟 腹沟 精子 腹部 卵
教学标本结构清晰地钱系列切片标本地钱精子器地钱颈卵器生物切片
颈卵器 精子器
更多推荐
地钱的精子器
地钱精子器结构图
地钱卵器
地钱的精子器手绘图
地钱精子器结构图手绘
提供精子多少钱一次
正常精子
精子
精子不液化
精子结构
精子稀少
地钱雌器托纵切
男人的精子
黑色精子
精子颜色
精子图片
精子质量标准
正常精子图片
精子正常颜色
精子凝集
地钱卵器结构示意图
精子报告正常参考值图
地钱雌器托结构图
地钱雌器托纵切手绘图
地钱颈卵器纵切结构图
地钱雌器托纵切标注图
地钱雄器托纵切示意图
地钱叶状体横切结构图
地钱雄器托纵切结构图
地钱叶状体结构图