首页
伤感说说
动漫配图
心情说说
抖音文案
伤感图片
伤感说说:
伤感的句子说说心情
空间说说
心情说说
爱情说说
女生伤感说说
人生感悟
心情不好的说说
说说带图片
关于生活的说说
说说心情短语
qq空间说说带图片
个性说说
励志名言
一句话经典语录
感悟人生的经典句子
短句吧
情感故事
抖音文案
伤感图片:
伤感图片带字
非主流伤感图片
唯美伤感图片
女生伤感图片
唯美意境图片
悲伤的图片
唯美意境伤感图片
只有字的伤感图片
说说图片
伤心的图片
美甲图片
图片大全
情感图片
微信头像男
动态壁纸
动漫配图
伤感图片
首页
>
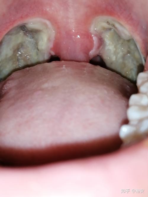
扁桃体术后粘连图片
扁桃体术后粘连图片,扁桃体术后图片
扁桃体摘除手术记录
扁桃体切除手术后腭垂与创面粘连!
割完扁桃体就发生了这种情况,粘连,根本看不到小舌头
扁桃体术后出血怎么办? (原创)
腺样体扁桃体切除术后注意事项
更多推荐
扁桃体术后图片
小舌头跟扁桃体粘连图
扁桃体粘连图片
扁桃体切除后增生图片
扁桃体术后疤痕图片
扁桃体切除不干净图
扁桃体术后增生图片
扁桃体术后感染图片
扁桃体切除术图片
扁桃体手术图片
扁桃体手术后痊愈图片
扁桃体手术后感染图片
扁桃体手术疤痕图片
扁桃体术后恢复照片
双眼皮术后粘连图片
包茎手术后粘连图片
术后宫颈口粘连图片
扁桃体术后恢复过程图
扁桃体术后
扁桃体微创手术过程图
扁桃体手术伤口恢复图
扁桃体手术伤口白膜图
儿童环切术后粘连图片
扁桃体术后白膜
扁桃体切除术
盆腔粘连松解术图片
跟腱断裂术后粘连图片
扁桃体发炎图片
扁桃体发炎真实图片
扁桃体图片