首页
伤感说说
动漫配图
心情说说
抖音文案
伤感图片
伤感说说:
伤感的句子说说心情
空间说说
心情说说
爱情说说
女生伤感说说
人生感悟
心情不好的说说
说说带图片
关于生活的说说
说说心情短语
qq空间说说带图片
个性说说
励志名言
一句话经典语录
感悟人生的经典句子
短句吧
情感故事
抖音文案
伤感图片:
伤感图片带字
非主流伤感图片
唯美伤感图片
女生伤感图片
唯美意境图片
悲伤的图片
唯美意境伤感图片
只有字的伤感图片
说说图片
伤心的图片
美甲图片
图片大全
情感图片
微信头像男
动态壁纸
动漫配图
伤感图片
首页
>
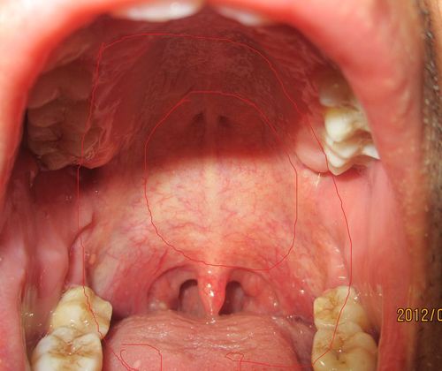
白喉口腔图片 咽喉
白喉口腔图片 咽喉,白喉口腔图片 判断
白喉是很严重的病吗
白喉,只是咽炎,给开了些治咽炎的药,吃了后感觉喉咙舒服多了,可这口腔
咽喉疼痛 扁桃体肿大 有可能并发菌血症和心内膜炎 *注意:白喉病是会
耳鼻咽喉白喉
白喉
更多推荐
白喉口腔图片 判断
白喉口腔图片 症状
白喉口腔图片 扁桃体
口腔咽喉图片图解
白喉口腔图片
正常口腔咽喉图片
白喉口腔图片初期
白喉口腔图片扁桃体
口腔咽喉疣体图片
正常咽喉图片高清图片
白喉病咽部图片
正常口腔内部咽喉图片
口腔咽喉构造图
口腔咽喉
白喉口腔
疱疹性咽峡炎口腔图片
白喉图片
口腔疱疹图片
白喉症状图片
白喉假膜图片
咽喉图解大全图片
口腔扁平苔藓图片
白喉病图片
白喉初期症状图片
手足口病口腔图片
小儿口腔疱疹图片
白喉和扁桃体图片区别
正常人的咽喉内壁图片
大人得白喉病图片
人体鼻咽喉口腔解剖图