首页
伤感说说
动漫配图
心情说说
抖音文案
伤感图片
伤感说说:
伤感的句子说说心情
空间说说
心情说说
爱情说说
女生伤感说说
人生感悟
心情不好的说说
说说带图片
关于生活的说说
说说心情短语
qq空间说说带图片
个性说说
励志名言
一句话经典语录
感悟人生的经典句子
短句吧
情感故事
抖音文案
伤感图片:
伤感图片带字
非主流伤感图片
唯美伤感图片
女生伤感图片
唯美意境图片
悲伤的图片
唯美意境伤感图片
只有字的伤感图片
说说图片
伤心的图片
美甲图片
图片大全
情感图片
微信头像男
动态壁纸
动漫配图
伤感图片
首页
>
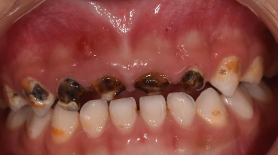
儿童牙龈发炎怎么办
儿童牙龈发炎怎么办,牙龈发炎怎么办
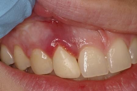
牙龈发炎肿痛,该怎么办?口腔医生和你聊聊
牙龈发炎肿痛,该怎么办?口腔医生和你聊聊
牙龈肿痛两条未见消退,一刷牙碰到就出血,怎么办?吃什么药?
牙龈上长了个脓包疼痛难忍?千万别用手挤,告诉你该怎么办
孩子牙龈上有"鼓包"怎么办?
更多推荐
牙龈发炎怎么办
牙龈发炎怎么消炎最快
儿童牙龈长脓包怎么办
儿童牙龈发炎图片
儿童扁桃体发炎怎么办
牙龈发炎吃什么药
牙龈肿痛怎么办
儿童牙龈炎症状图片
牙龈炎怎么治疗
牙龈脓包怎么办
牙龈发炎
小孩牙龈长脓包怎么办
儿童牙龈
儿童牙根刺破牙龈图片
儿童牙龈红肿
牙龈发炎根部
儿童门牙牙龈突出图片
儿童牙龈发黑图片
牙龈发炎红肿
儿童牙龈上长牙图片
儿童牙龈长脓包
牙龈发炎上火
牙龈炎和牙周炎的图片
牙龈严重发炎图片
儿童牙龈溃疡图片
扁桃体发炎怎么办
小孩牙龈发炎脓包图片
儿童牙龈脓包图片
儿童牙龈长包图片
儿童牙龈瘤图片