首页
伤感说说
动漫配图
心情说说
抖音文案
伤感图片
伤感说说:
伤感的句子说说心情
空间说说
心情说说
爱情说说
女生伤感说说
人生感悟
心情不好的说说
说说带图片
关于生活的说说
说说心情短语
qq空间说说带图片
个性说说
励志名言
一句话经典语录
感悟人生的经典句子
短句吧
情感故事
抖音文案
伤感图片:
伤感图片带字
非主流伤感图片
唯美伤感图片
女生伤感图片
唯美意境图片
悲伤的图片
唯美意境伤感图片
只有字的伤感图片
说说图片
伤心的图片
美甲图片
图片大全
情感图片
微信头像男
动态壁纸
动漫配图
伤感图片
首页
>
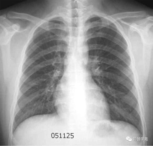
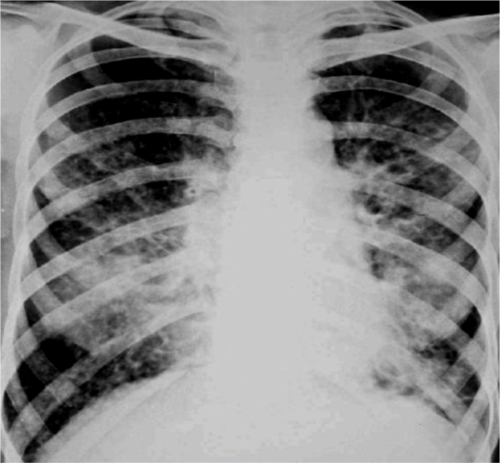
小叶性肺炎x线表现
小叶性肺炎x线表现,小叶性肺炎
2.小叶性肺炎 表现为肺纹理增多,模糊.
小叶性肺炎表现为沿肺纹理分布的斑片状模糊致密影,密度不均,多发
大叶性,小叶性,间质性肺炎你分清了吗?
过敏性肺炎影像表现详细学习
有些病例具有支气管肺炎,即小叶性肺炎的特点.
更多推荐
小叶性肺炎
大叶性肺炎x线表现
间质性肺炎x线
肺结核x线表现
间质性肺炎
小叶性肺炎的x线表现
小叶性肺炎x线
小叶性肺炎x线图片
小叶性肺炎x片
小叶性肺炎胸片
小叶性肺炎ct
大叶性肺炎x线图片
小叶性肺炎ct图片
小叶性肺炎镜下特点
肺不张x线表现
小叶性肺炎切片
小叶性肺炎大体
肺气肿x线表现
小叶性肺炎镜下图
小叶性肺炎图片
小叶性肺炎病理图
小叶性肺炎绘图
小叶性肺炎手绘
小叶性肺炎病理切片
肺不张x线表现图片
小叶性肺炎图片标注
小叶性肺炎镜下观图片
小儿肺炎x线胸片图解
间质性肺炎x线图片
支气管扩张x线表现