首页
伤感说说
动漫配图
心情说说
抖音文案
伤感图片
伤感说说:
伤感的句子说说心情
空间说说
心情说说
爱情说说
女生伤感说说
人生感悟
心情不好的说说
说说带图片
关于生活的说说
说说心情短语
qq空间说说带图片
个性说说
励志名言
一句话经典语录
感悟人生的经典句子
短句吧
情感故事
抖音文案
伤感图片:
伤感图片带字
非主流伤感图片
唯美伤感图片
女生伤感图片
唯美意境图片
悲伤的图片
唯美意境伤感图片
只有字的伤感图片
说说图片
伤心的图片
美甲图片
图片大全
情感图片
微信头像男
动态壁纸
动漫配图
伤感图片
首页
>
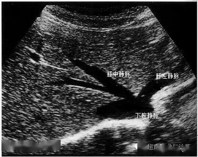
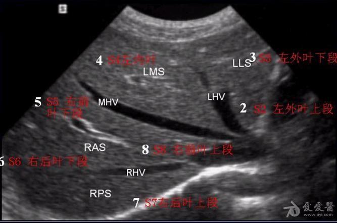
超声肝的分段解剖图片
超声肝的分段解剖图片,肝超声分段解剖示意图
肝脏的分叶分段(解剖 超声声像图)
肝脏的分叶分段(解剖 超声声像图)
收藏丨肝脏分叶分段的影像解剖
「微课堂」肝脏超声标准切面及主要解剖注释
肝脏超声分段
更多推荐
肝超声分段解剖示意图
肝的分段解剖图片ct
肝的分段解剖图片
肝脏的分叶分段解剖图
肝脏ct分叶分段解剖图
肝ct分段解剖示意图
超声肝脏8分段法图谱
肝分段解剖示意图
肺的分段解剖图片
肝脏分段ct断面解剖图
肝脏分段解剖
肝的解剖位置及图解
肝的解剖图解
肝的分段、分叶图解
肝的分段分叶图解
肝的解剖位置
肝脏的8个分段图
肝解剖结构图
肝脏解剖图详细图
肝脏的8个分段
食管解剖分段
第一肝门解剖示意图
肝的分段
肝解剖
肝叶分段ct示意图
肝的分段口诀
肝分段结构图
肝内胆管解剖
肝脏分段ct
肝静脉解剖