首页
伤感说说
动漫配图
心情说说
抖音文案
伤感图片
伤感说说:
伤感的句子说说心情
空间说说
心情说说
爱情说说
女生伤感说说
人生感悟
心情不好的说说
说说带图片
关于生活的说说
说说心情短语
qq空间说说带图片
个性说说
励志名言
一句话经典语录
感悟人生的经典句子
短句吧
情感故事
抖音文案
伤感图片:
伤感图片带字
非主流伤感图片
唯美伤感图片
女生伤感图片
唯美意境图片
悲伤的图片
唯美意境伤感图片
只有字的伤感图片
说说图片
伤心的图片
美甲图片
图片大全
情感图片
微信头像男
动态壁纸
动漫配图
伤感图片
首页
>
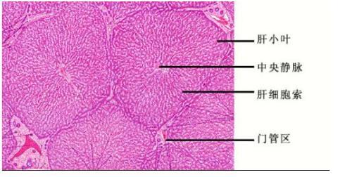
肝小叶间静脉
肝小叶间静脉,肝小叶中央静脉
病理实验切片.ppt
肝小叶
肝小叶汇管区小叶间静脉 小叶间动脉和小叶间胆管的区别
肝小叶
淋巴管的分支,可见小叶间静脉,小叶间动脉和小叶间胆管,该区域称为 肝
更多推荐
肝小叶中央静脉
小叶间静脉
小叶间静脉图
肝小叶中央静脉图片
肝小叶
肝小叶正常
肝小叶汇管区
肝小叶的结构
肝小叶结构图
肝小叶界板
肝小叶解剖图
肝小叶显微镜
肝小叶中央静脉手绘图
肝小叶图片
肝静脉
小叶间胆管
肝小叶结构图管区
肝小叶结构图微细
肝小叶门管区绘图
肝小叶手绘图
肝小叶汇管区结构图
小腿肌间静脉
肝小叶结构模式图
肝小叶实验报告
小隐静脉
肌间静脉
肌间静脉解剖
肝小叶模式图及标注
肝小叶结构图手绘
肌间静脉血栓