首页
伤感说说
动漫配图
心情说说
抖音文案
伤感图片
伤感说说:
伤感的句子说说心情
空间说说
心情说说
爱情说说
女生伤感说说
人生感悟
心情不好的说说
说说带图片
关于生活的说说
说说心情短语
qq空间说说带图片
个性说说
励志名言
一句话经典语录
感悟人生的经典句子
短句吧
情感故事
抖音文案
伤感图片:
伤感图片带字
非主流伤感图片
唯美伤感图片
女生伤感图片
唯美意境图片
悲伤的图片
唯美意境伤感图片
只有字的伤感图片
说说图片
伤心的图片
美甲图片
图片大全
情感图片
微信头像男
动态壁纸
动漫配图
伤感图片
首页
>
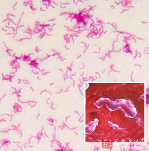
幽门螺杆菌革兰染色
幽门螺杆菌革兰染色,幽门螺杆菌感染
医院感染非发酵革兰阴性杆菌的分布与耐药性分析
幽门螺杆菌的形态学特征 革兰染色阴性螺旋弯曲形,细菌常排列成 s 形
革兰氏阳性菌染色成功
幽门螺杆菌
胃幽门螺杆菌(碱性品红及吉姆萨染色)
更多推荐
幽门螺杆菌感染
幽门螺杆菌
幽门螺杆菌效果
幽门螺杆菌致病
幽门螺杆菌症状
幽门螺杆菌的危害
幽门螺杆菌卡通
幽门螺杆菌牙膏
幽门螺杆菌图片
幽门螺杆菌试纸
幽门螺杆菌治疗方法
幽门螺杆菌图片效果
幽门螺杆菌图片高清
幽门螺杆菌镜下图片
大肠杆菌革兰染色绘图
幽门螺杆菌动图
幽门螺杆菌的舌头照片
幽门螺杆菌显微镜图片
幽门螺杆菌图片卡通
淋球菌革兰染色
幽门螺杆菌最怕的食物
幽门螺杆菌报告单图片
革兰阴性杆菌
肺炎链球菌革兰染色
革兰染色
革兰染色步骤
革兰阳性菌
革兰氏阳性菌
革兰阳性球菌
革兰氏阳性菌图片