首页
伤感说说
动漫配图
心情说说
抖音文案
伤感图片
伤感说说:
伤感的句子说说心情
空间说说
心情说说
爱情说说
女生伤感说说
人生感悟
心情不好的说说
说说带图片
关于生活的说说
说说心情短语
qq空间说说带图片
个性说说
励志名言
一句话经典语录
感悟人生的经典句子
短句吧
情感故事
抖音文案
伤感图片:
伤感图片带字
非主流伤感图片
唯美伤感图片
女生伤感图片
唯美意境图片
悲伤的图片
唯美意境伤感图片
只有字的伤感图片
说说图片
伤心的图片
美甲图片
图片大全
情感图片
微信头像男
动态壁纸
动漫配图
伤感图片
首页
>
甲状软骨解剖图ct
甲状软骨解剖图ct,甲状软骨解剖图
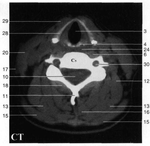
甲状软骨右板right lamina of thyroid cartilage 29.
正文 图1-4-27 图1-4-28 图1-4-29 图1-4-30 图1-4-31 (2) 甲状软骨
甲状软骨
甲状软骨(常见病变,少见部位),请欣赏
关于甲状软骨ct无法成像问题
更多推荐
甲状软骨解剖图
甲状软骨断层解剖图
甲状软骨位置解剖图
环状软骨位置解剖图ct
环状软骨解剖图
环状软骨位置解剖图
杓状软骨解剖图
甲状软骨位置图
环状软骨ct图片
女性甲状软骨位置图片
喉软骨解剖图
甲状软骨位置
女性甲状软骨突出图片
甲状软骨
肺动脉解剖图ct图
喉部软骨解剖图
甲状软骨突出
舌骨解剖图
头颅解剖图ct
髋关节ct解剖图
上颌窦解剖图ct
肺部ct解剖图
小肠ct分段解剖图
心脏ct横断面解剖图
基底节层面ct解剖图
男性泌尿系统解剖图ct
髋关节ct断层解剖图
颞骨解剖图
环状软骨位置图片
腹主动脉分支解剖图ct