首页
伤感说说
动漫配图
心情说说
抖音文案
伤感图片
伤感说说:
伤感的句子说说心情
空间说说
心情说说
爱情说说
女生伤感说说
人生感悟
心情不好的说说
说说带图片
关于生活的说说
说说心情短语
qq空间说说带图片
个性说说
励志名言
一句话经典语录
感悟人生的经典句子
短句吧
情感故事
抖音文案
伤感图片:
伤感图片带字
非主流伤感图片
唯美伤感图片
女生伤感图片
唯美意境图片
悲伤的图片
唯美意境伤感图片
只有字的伤感图片
说说图片
伤心的图片
美甲图片
图片大全
情感图片
微信头像男
动态壁纸
动漫配图
伤感图片
首页
>
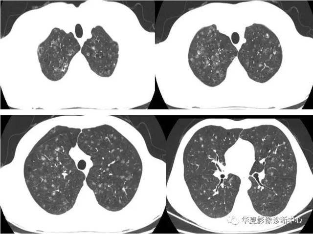
矽肺结节
矽肺结节,肺部结节
煤矽肺是由于长期吸入大量游离二氧化硅粉尘所引起,以肺部广泛的结节
矽肺,双肺上叶大块纤维化合并小叶中央型小结节,结节边缘光整,密度较
矽肺
矽肺
矽肺病因是什么?
更多推荐
肺部结节
尘肺矽肺
结节
矽肺
治矽肺
矽肺病人
乳腺结节
矽肺切片
矽肺病
矽肺胸片
肺磨玻璃结节
矽肺影像
矽肺CT
矽肺x光
矽肺三期
矽肺图片
皮肤结节
结节图片
矽肺ppt
乳腺增生结节
胫骨结节
蒙氏结节
矽肺切片图
磨玻璃结节
坐骨结节
乳腺结节三类
矽肺病图片
乳腺结节图片
矽肺ct图片
矽肺宁片购买