首页
伤感说说
动漫配图
心情说说
抖音文案
伤感图片
伤感说说:
伤感的句子说说心情
空间说说
心情说说
爱情说说
女生伤感说说
人生感悟
心情不好的说说
说说带图片
关于生活的说说
说说心情短语
qq空间说说带图片
个性说说
励志名言
一句话经典语录
感悟人生的经典句子
短句吧
情感故事
抖音文案
伤感图片:
伤感图片带字
非主流伤感图片
唯美伤感图片
女生伤感图片
唯美意境图片
悲伤的图片
唯美意境伤感图片
只有字的伤感图片
说说图片
伤心的图片
美甲图片
图片大全
情感图片
微信头像男
动态壁纸
动漫配图
伤感图片
首页
>
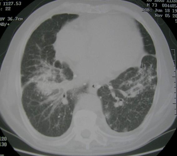
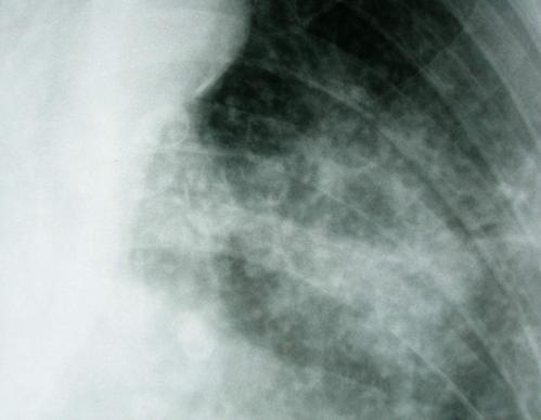
矽肺三期
矽肺三期,矽肺胸片
矽肺
矽肺3期的影像图片
三期矽肺后期的症状有哪些
治矽肺
矽肺3期的影像图片
更多推荐
矽肺胸片
矽肺宁片购买
矽肺x光
矽肺影像
治矽肺
尘肺矽肺
矽肺
矽肺结节
一期矽肺图片
矽肺病人
矽肺图片
矽肺切片
矽肺CT
痔疮一期二期三期图片
一二三期的尘肺图
矽肺病
矽肺ppt
三期
矽肺切片图
矽肺病图片
痔疮三期图片
高新三期
矽肺影像图片
三期梅毒
矽肺ct图片
国贸三期
湘湖三期
三期士官
金税三期
百汇园三期