首页
伤感说说
动漫配图
心情说说
抖音文案
伤感图片
伤感说说:
伤感的句子说说心情
空间说说
心情说说
爱情说说
女生伤感说说
人生感悟
心情不好的说说
说说带图片
关于生活的说说
说说心情短语
qq空间说说带图片
个性说说
励志名言
一句话经典语录
感悟人生的经典句子
短句吧
情感故事
抖音文案
伤感图片:
伤感图片带字
非主流伤感图片
唯美伤感图片
女生伤感图片
唯美意境图片
悲伤的图片
唯美意境伤感图片
只有字的伤感图片
说说图片
伤心的图片
美甲图片
图片大全
情感图片
微信头像男
动态壁纸
动漫配图
伤感图片
首页
>
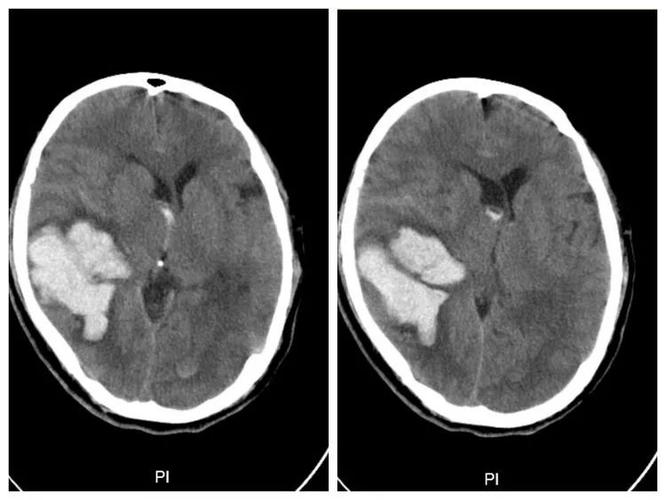
脑叶出血
脑叶出血,脑叶
脑叶出血约占脑出血的13%~31%,国内报道占17.3%.
脑叶的出血,也可以用微创的神经内镜手术.
脑出血按部位分类
脑叶出血的原因,脑叶出血怎么引起的
> 内科 > 神经内科 > 脑出血 > 概况 3,脑叶出血:也称为皮质下白质
更多推荐
脑叶
脑叶公司
出血
手出血
出血真实
皮下出血
大便出血
脑叶公司三鸟
脑叶公司部长
脑叶公司人物
脑叶公司图鉴
手出血真实
脑叶公司锁妈
脑叶公司白夜
脑叶公司一无所有
脑叶公司污图
脑叶公司图片
脑叶公司主管
脑叶公司红姐
脑叶公司泳装
脑叶公司头像
脑叶公司壁纸
排卵期出血
脑叶公司拟人
脑叶公司员工
出血漫画
怀孕初期出血
脑叶公司锁妈污图
脑叶公司异想体图鉴
皮下出血图片