首页
伤感说说
动漫配图
心情说说
抖音文案
伤感图片
伤感说说:
伤感的句子说说心情
空间说说
心情说说
爱情说说
女生伤感说说
人生感悟
心情不好的说说
说说带图片
关于生活的说说
说说心情短语
qq空间说说带图片
个性说说
励志名言
一句话经典语录
感悟人生的经典句子
短句吧
情感故事
抖音文案
伤感图片:
伤感图片带字
非主流伤感图片
唯美伤感图片
女生伤感图片
唯美意境图片
悲伤的图片
唯美意境伤感图片
只有字的伤感图片
说说图片
伤心的图片
美甲图片
图片大全
情感图片
微信头像男
动态壁纸
动漫配图
伤感图片
首页
>
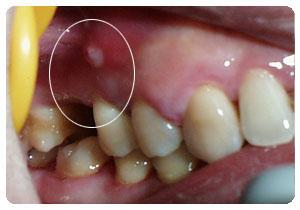
根尖周炎治疗
根尖周炎治疗,根尖周炎怎么治疗
慢性根尖周炎的治疗
根管治疗是杀神经吗?什么是根管治疗?看牙疼吗?
首页 牙周治疗 根尖周炎 病症介绍 症状
根尖周炎该怎么治疗?任由它发展下去会有什么后果?
根尖周炎该怎么治疗?任由它发展下去会有什么后果?
更多推荐
根尖周炎怎么治疗
牙根尖周炎怎么治疗
根尖周炎
慢性根尖周炎
根尖周炎早期
根尖周炎晚期
急性根尖周炎
牙根尖周炎
根尖周炎图片
根尖周炎囊肿
根尖周炎脓包
根尖周炎的症状
牙根尖周炎图片
慢性根尖周炎早期
慢性根尖周炎图片
急性根尖周炎图片
根尖周炎图片早期
根尖周炎的症状图片
牙根尖周炎晚期图片
牙龈炎怎么治疗
牙根尖周炎早期图片
根尖周炎图片脓包
牙根尖周炎的症状图片
牙根尖周炎脓包图片
结膜炎的症状及治疗
治疗室
鸡眼怎么治疗
性治疗师
脚气怎么治疗能除根
mect治疗